ONS SKEMAS
VK NEQAS CPT bied 'n wye reeks tegniese en interpretatiewe EQA- en vaardigheidstoetsskemas en -dienste, gebaseer op skyfie-, weefsel- en digitale toestelle, vir individuele en laboratoriumbevoegdheid.
Ons Skemas kan aangepas word volgens die vereistes en repertoire van elke Deelnemende organisasie.
Kies 'n skema vir meer inligting.
METGESELSSKEMAS
Akkreditasiekennisgewing vir Metgeselskemas
Wees asseblief bewus daarvan dat alhoewel UK NEQAS CPT 'n UKAS-geakkrediteerde verskaffer van vaardigheidstoetsing is (No. 8268), die volgende skemas nie onder hierdie akkreditasie ingesluit is nie:
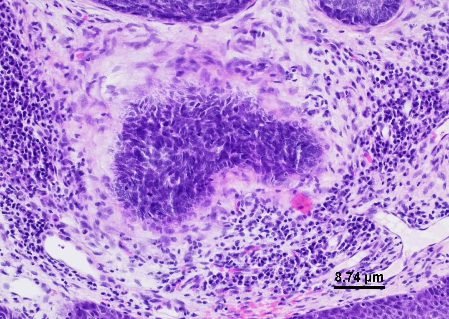
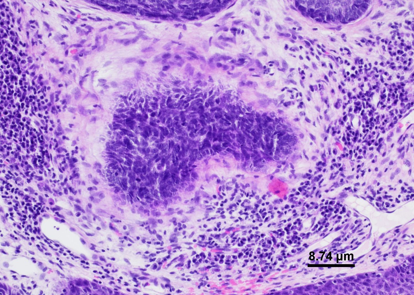
- Demonstrasie van Spesifieke Bloedselteikens binne die BMT-biopsie
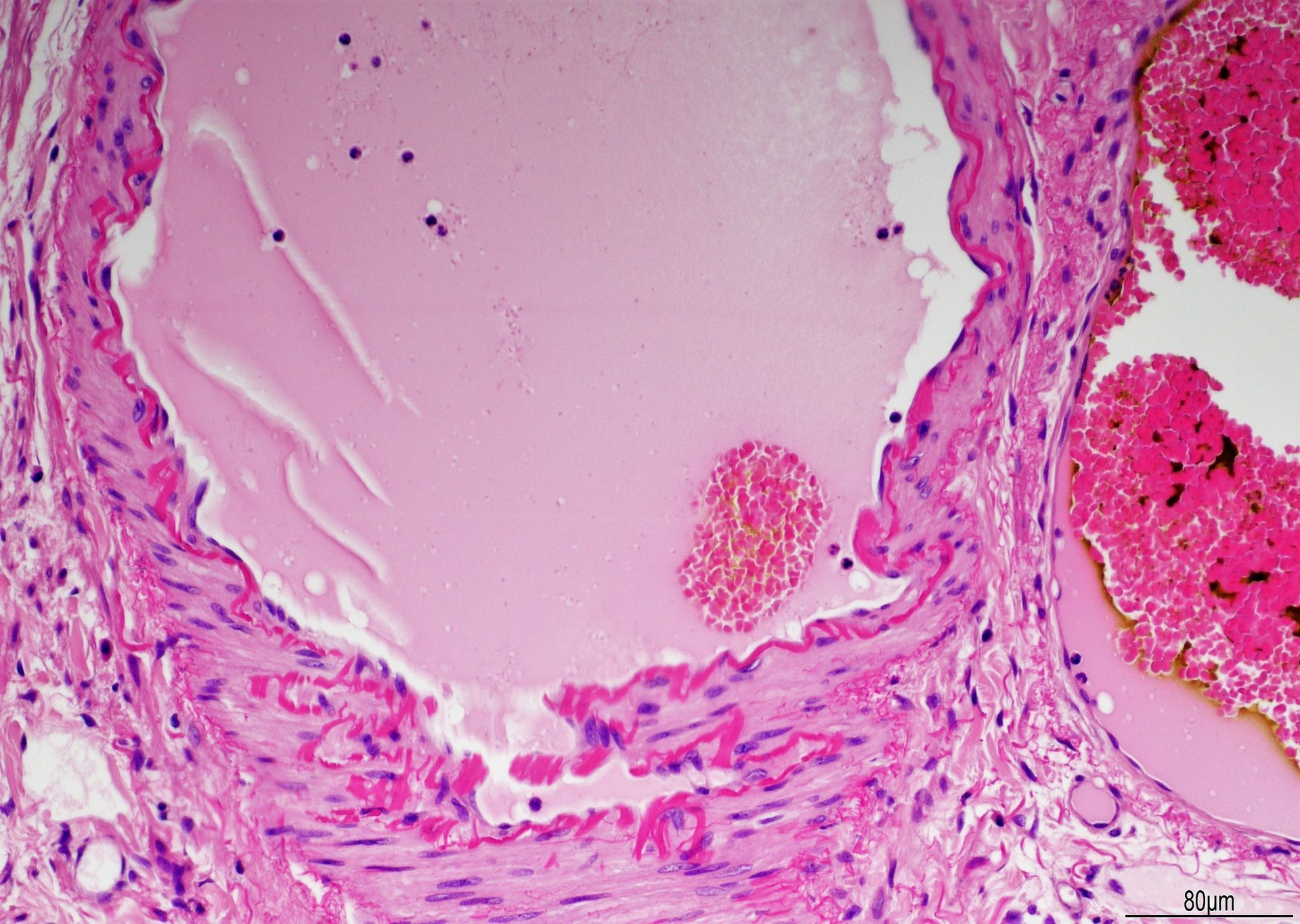
- Diagnostiese Semi-Dun Hars Seksies
Resultate van hierdie skemas kan vir interne validerings- of verifikasiedoeleindes gebruik word, maar word nie ekstern geakkrediteer nie.
Meld aan by die Lede-area met jou unieke laboratoriumnommer om toegang tot eksklusiewe voordele te verkry, insluitend;
- Aanlyn biblioteek van kleurbeelde wat optimale en suboptimale kleuring toon
- Aanlyn biblioteek van die beste metodes
- VK NEQAS CPT Nuusbriewe
- Assesseringsresultate
- Repertorium

















