VORES ORDNINGER
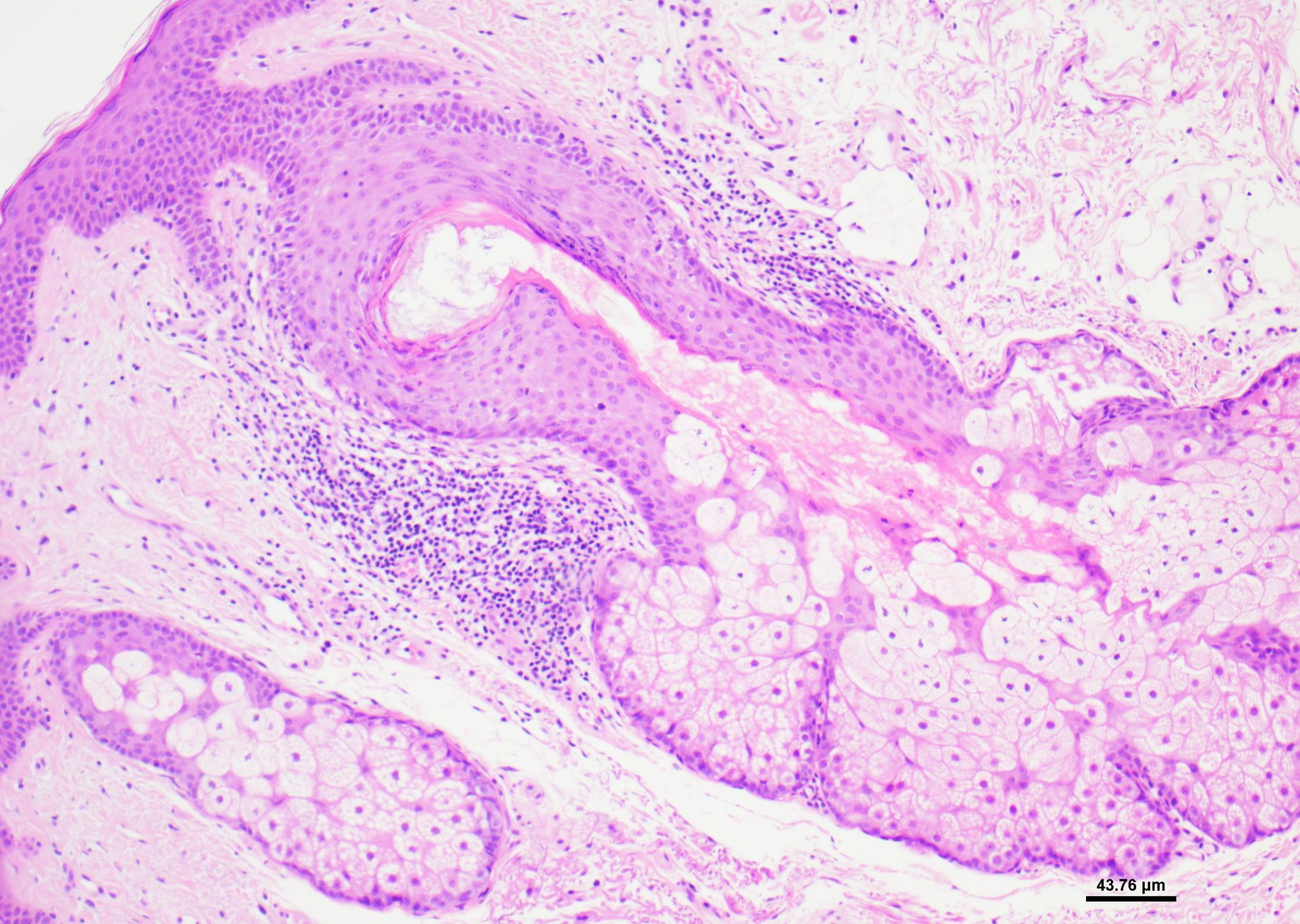
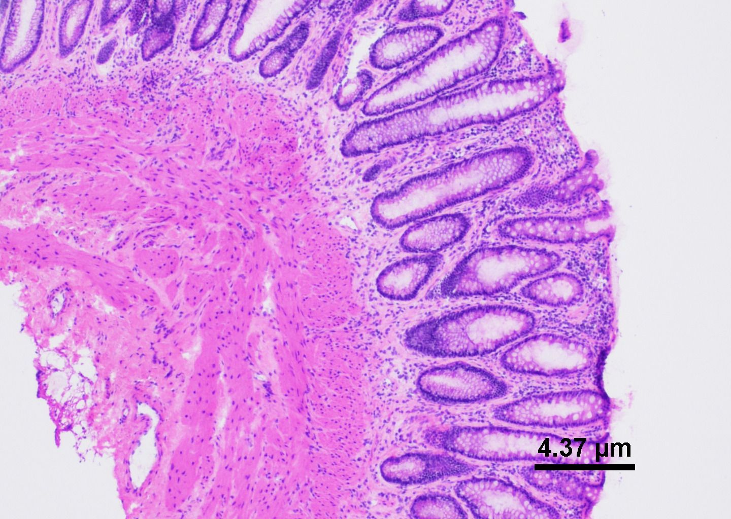
UK NEQAS CPT tilbyder en bred vifte af tekniske og fortolkende EQA- og præstationsprøvningsordninger og -tjenester baseret på præparater, væv og digitale instrumenter, for individuel og laboratoriemæssig kompetence.
Vores ordninger kan skræddersys til hver enkelt deltagerorganisations krav og repertoire.
Vælg en ordning for at få flere oplysninger.
LEDSAGEORDNINGER
Akkrediteringsmeddelelse for ledsageordninger
Vær opmærksom på, at selvom UK NEQAS CPT er en UKAS-akkrediteret udbyder af præstationsprøvning (nr. 8268), er følgende ordninger ikke omfattet af denne akkreditering:
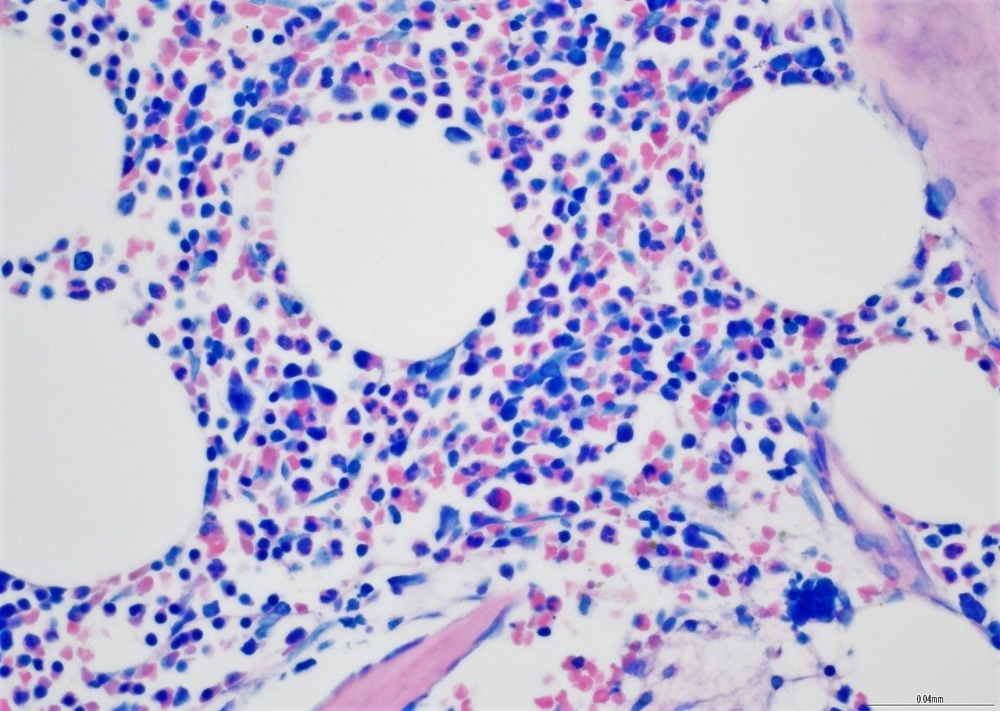
- Demonstration af specifikke blodcellemål i BMT-biopsien
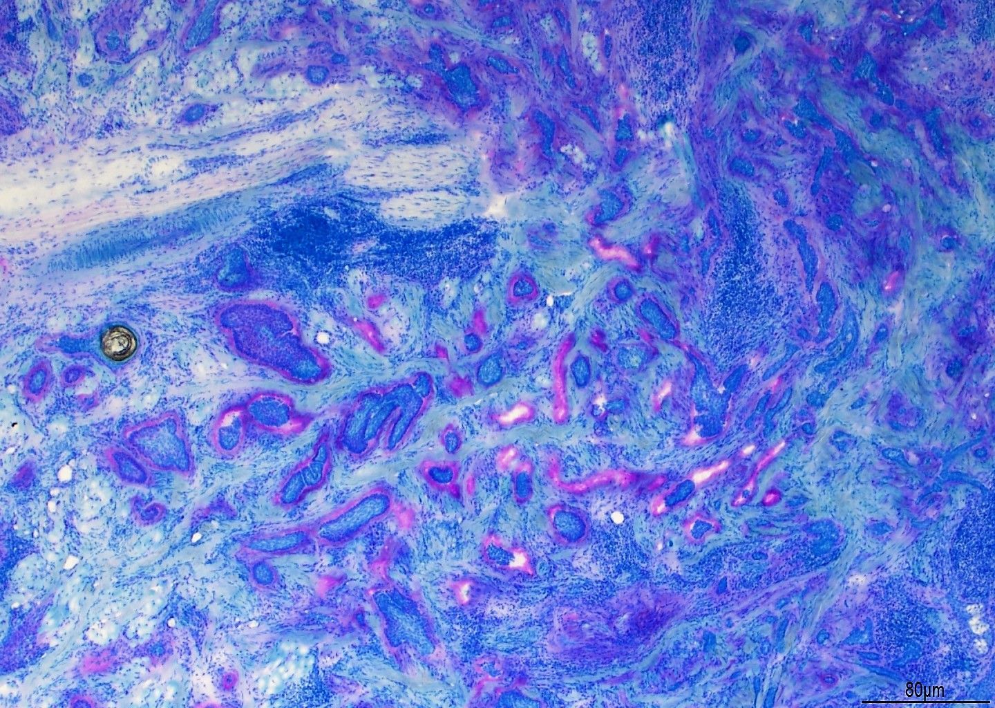
- Diagnostiske halvtynde harpikssnit
Resultater fra disse ordninger kan bruges til intern validering eller verifikation, men er ikke eksternt akkrediteret.
Log ind på medlemsområdet med dit unikke labnummer for at få adgang til eksklusive fordele, herunder:
- Online bibliotek med farvebilleder, der viser optimal og suboptimal farvning
- Onlinebibliotek med de bedste metoder
- Nyhedsbreve fra NEQAS CPT i Storbritannien
- Vurderingsresultater
- Repertoire

















