NASZE PROGRAMY
UK NEQAS CPT oferuje szeroki zakres technicznych i interpretacyjnych programów badań EQA i biegłości opartych na preparatach szkiełkowych, tkankowych i cyfrowych, a także usług w zakresie kompetencji indywidualnych i laboratoryjnych.
Nasze programy można dostosować do wymagań i repertuaru każdej organizacji uczestniczącej.
Wybierz schemat, aby uzyskać więcej informacji.
PROGRAMY TOWARZYSZĄCE
Ogłoszenie o akredytacji programów towarzyszących
Należy pamiętać, że chociaż UK NEQAS CPT jest akredytowanym przez UKAS dostawcą usług testowania biegłości (nr 8268), poniższe programy nie są objęte tą akredytacją:
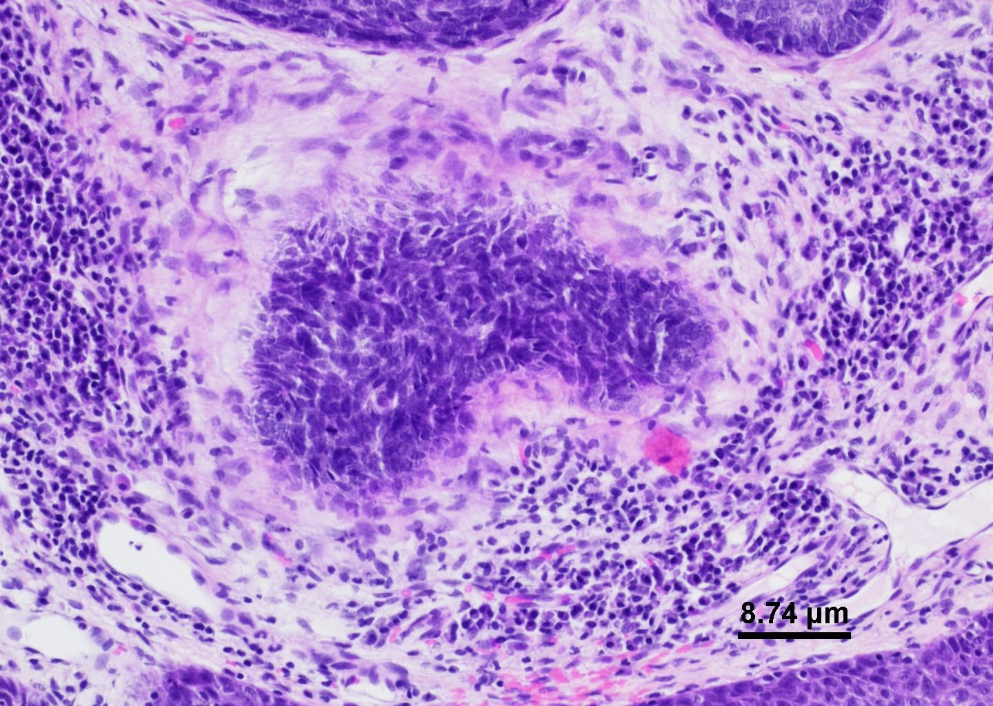
- Demonstracja specyficznych celów komórek krwi w biopsji przeszczepu szpiku kostnego
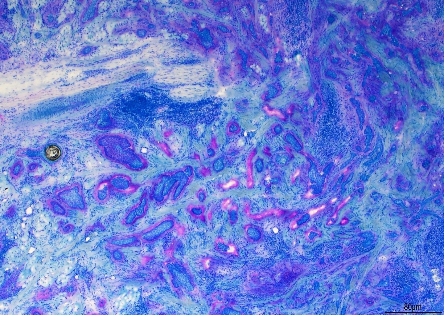
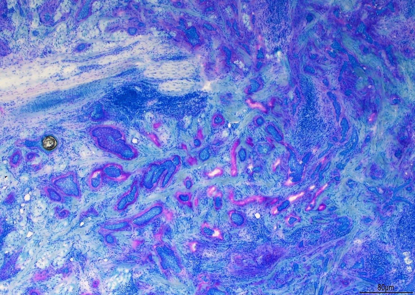
- Diagnostyczne półcienkie przekroje żywiczne
Wyniki uzyskane w ramach tych programów mogą być wykorzystywane do celów wewnętrznej walidacji lub weryfikacji, nie podlegają jednak zewnętrznej akredytacji.
Zaloguj się do Strefy Członkowskiej przy użyciu swojego unikalnego Numeru Laboratorium, aby uzyskać dostęp do ekskluzywnych korzyści, w tym:
- Internetowa biblioteka obrazów kolorowych przedstawiających optymalne i suboptymalne barwienie
- Internetowa biblioteka najlepszych metod
- Biuletyny NEQAS CPT w Wielkiej Brytanii
- Wyniki oceny
- Repertuar

















