NAŠI PROGRAMI
UK NEQAS CPT nudi širok raspon tehničkih i interpretativnih shema i usluga ispitivanja kvalitete i osposobljenosti temeljenih na preparatima, tkivima i digitalnim metodama, za individualnu i laboratorijsku kompetentnost.
Naše sheme mogu se prilagoditi zahtjevima i repertoaru svake organizacije sudionice.
Odaberite shemu za više informacija.
PRATITELJSKE SHEME
Obavijest o akreditaciji za prateće sheme
Imajte na umu da iako je UK NEQAS CPT akreditirani pružatelj usluga ispitivanja osposobljenosti od strane UKAS-a (br. 8268), sljedeći programi nisu uključeni u ovu akreditaciju:
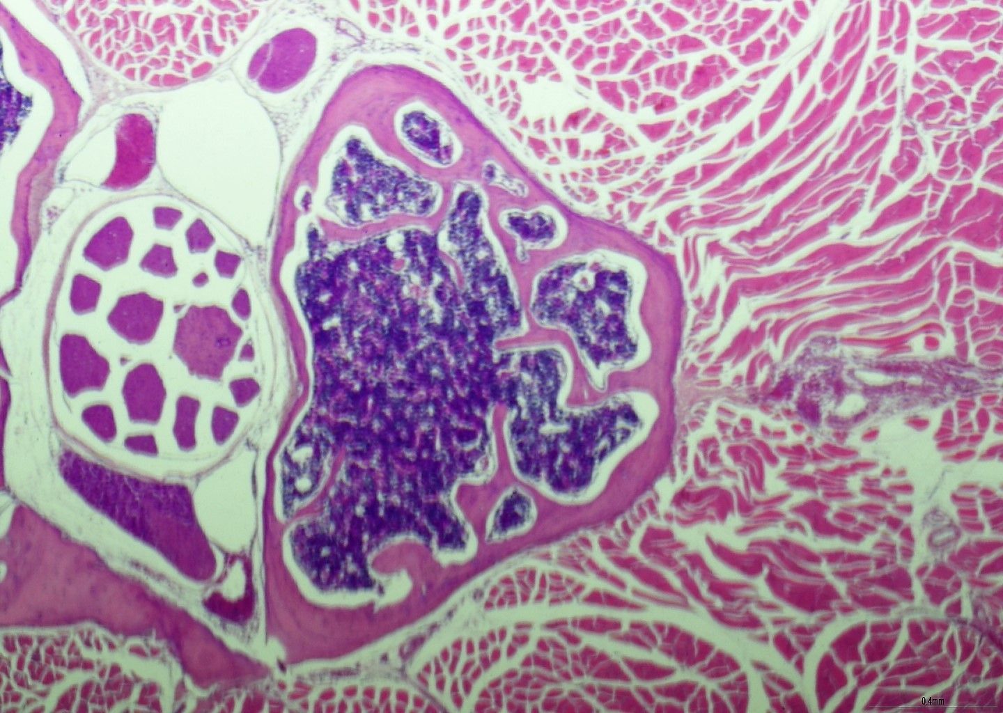
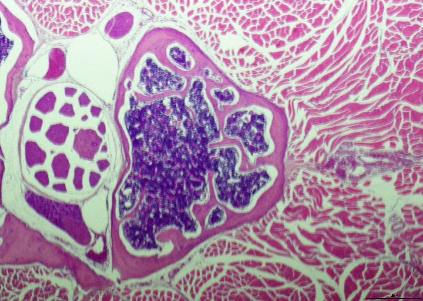
- Demonstracija specifičnih ciljeva krvnih stanica unutar biopsije BMT-a
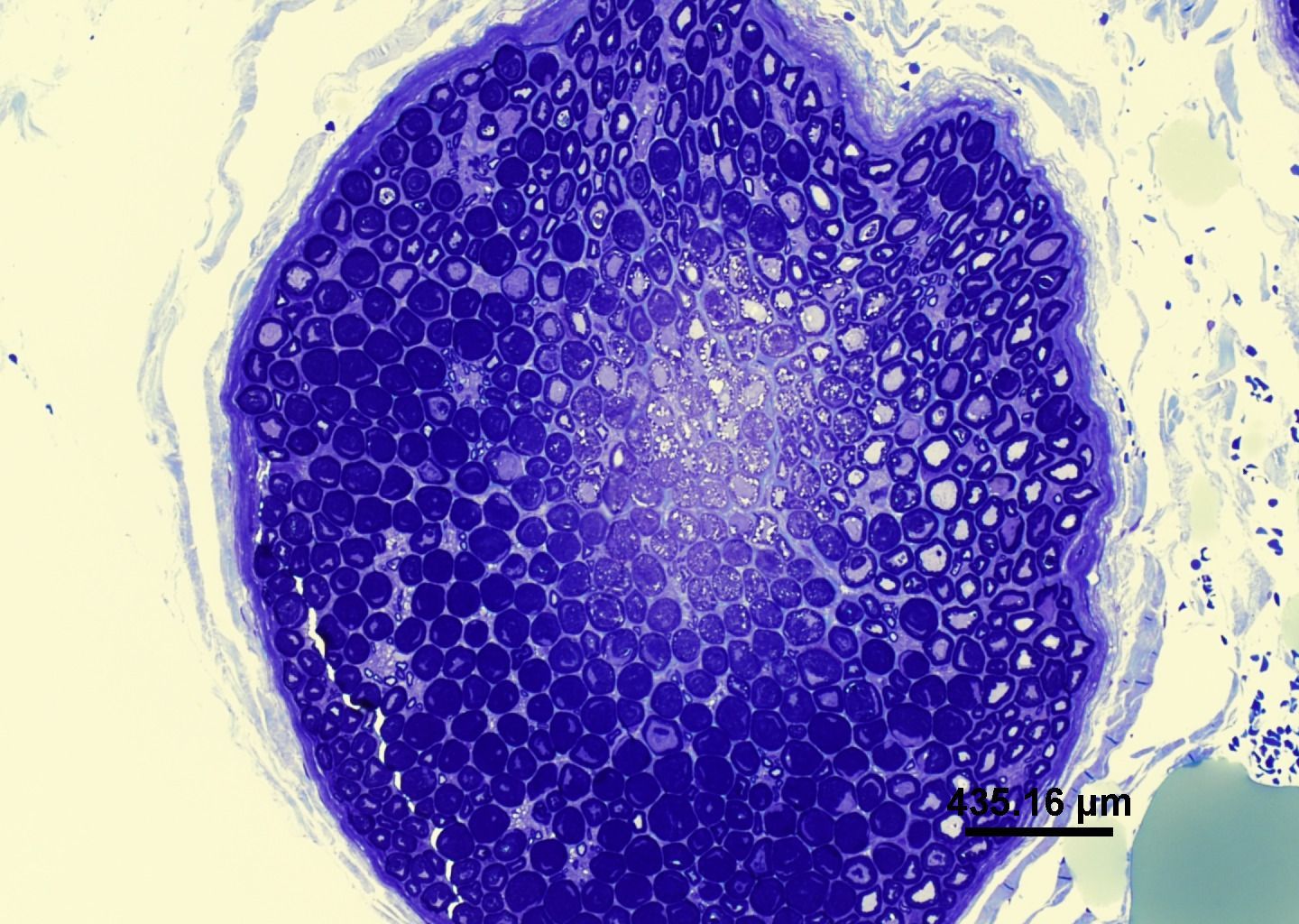
- Dijagnostički polutanki rezovi smole
Rezultati ovih programa mogu se koristiti za internu validaciju ili verifikaciju, ali nisu eksterno akreditirani.
Prijavite se u Člansko područje koristeći svoj jedinstveni laboratorijski broj kako biste pristupili ekskluzivnim pogodnostima, uključujući;
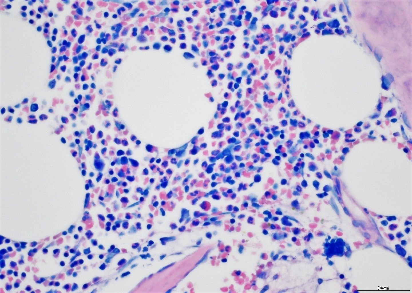
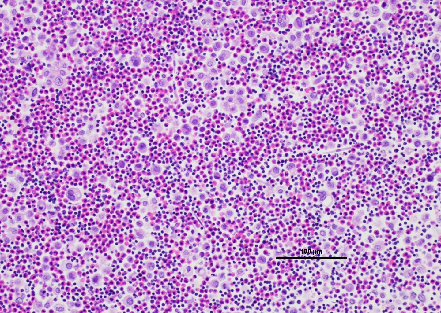
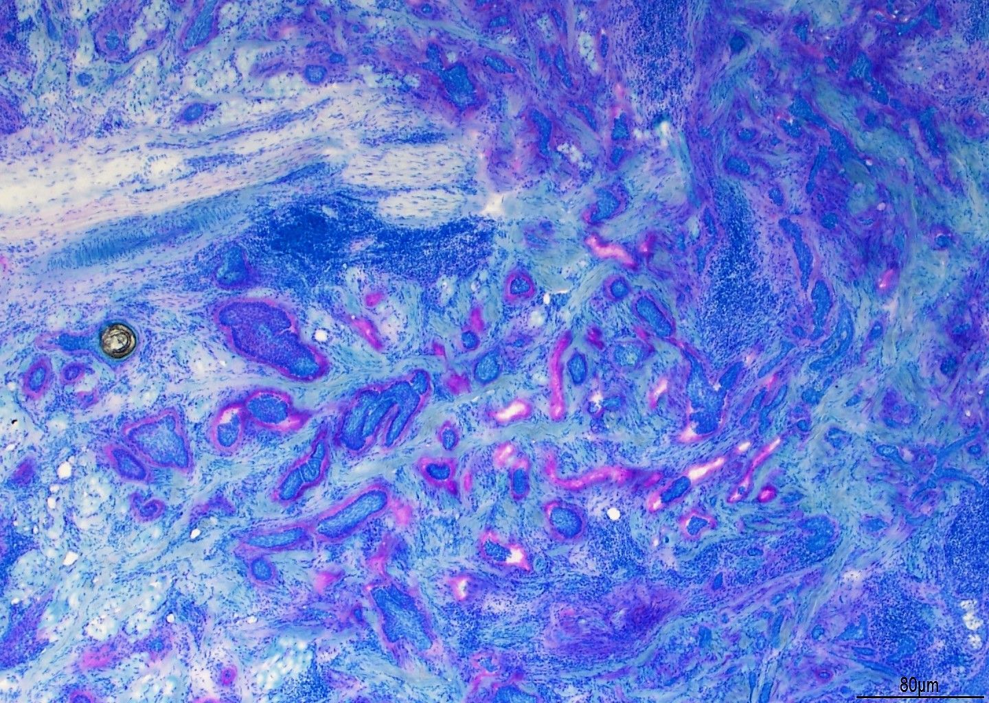
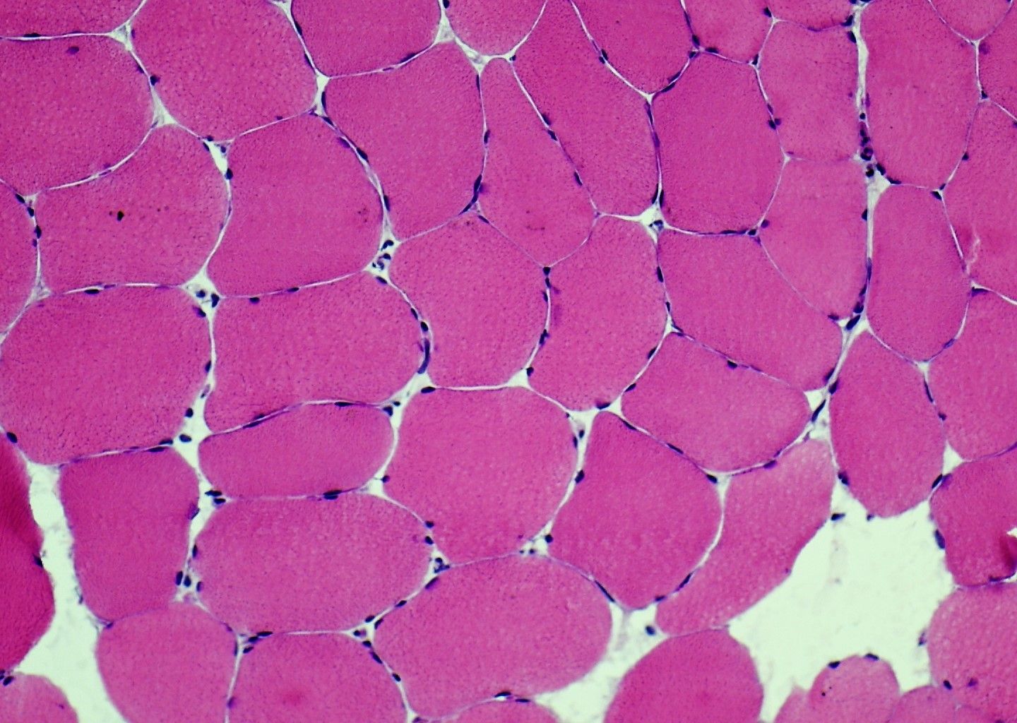
- Online biblioteka slika u boji koje prikazuju optimalno i suboptimalno bojenje
- Online knjižnica najboljih metoda
- Bilteni NEQAS CPT-a u Velikoj Britaniji
- Rezultati procjene
- Repertoar

















