NOSSOS ESQUEMAS
O UK NEQAS CPT oferece uma ampla gama de esquemas e serviços de testes de EQA e proficiência técnicos e interpretativos baseados em lâminas, tecidos e digitais para competência individual e laboratorial.
Nossos Esquemas podem ser adaptados aos requisitos e repertório de cada organização Participante.
Selecione um esquema para mais informações.
ESQUEMAS DE ACOMPANHAMENTO
Aviso de Acreditação para Esquemas Complementares
Esteja ciente de que, embora o UK NEQAS CPT seja um provedor de testes de proficiência credenciado pela UKAS (nº 8268), os seguintes programas não estão incluídos neste credenciamento:
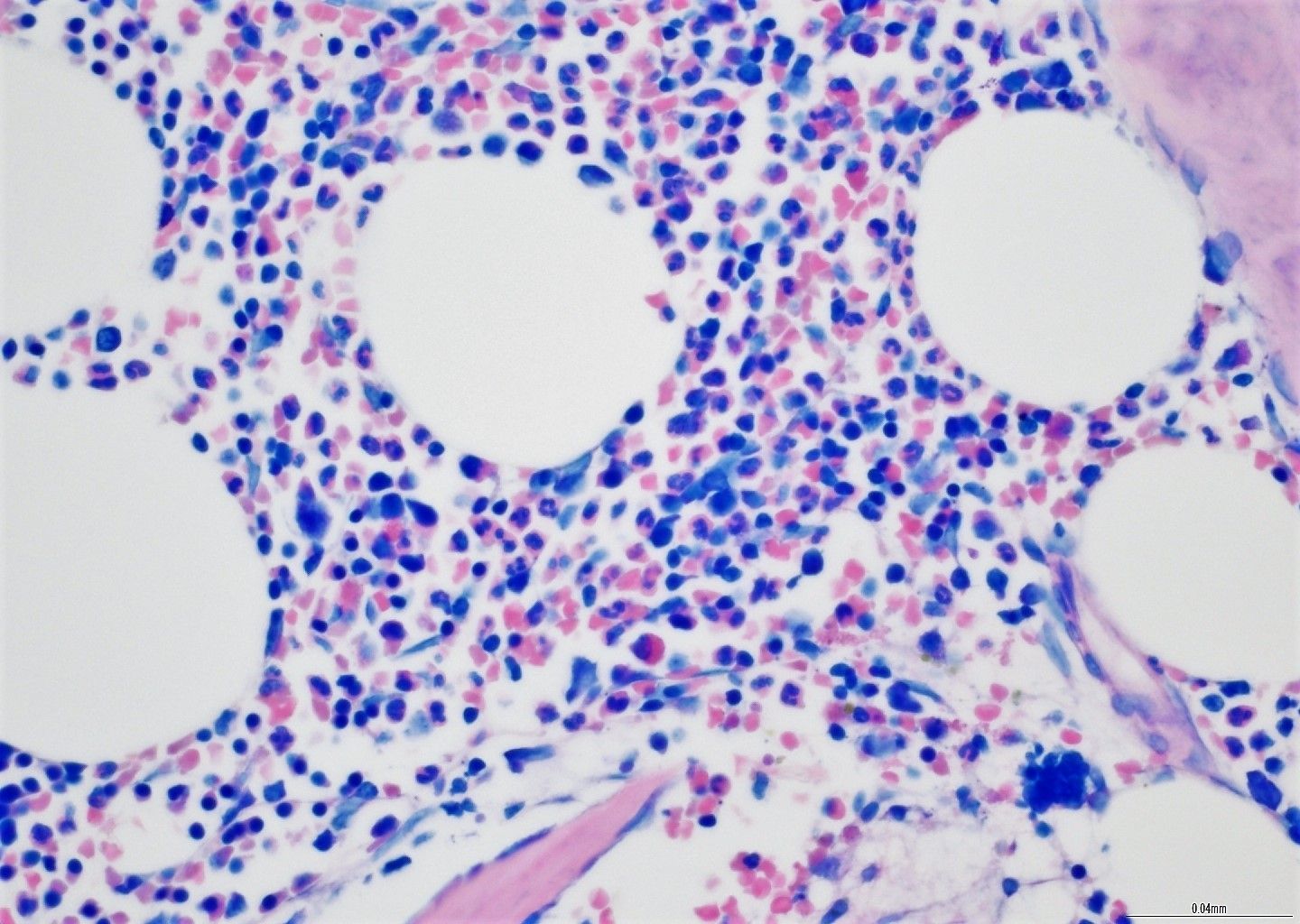
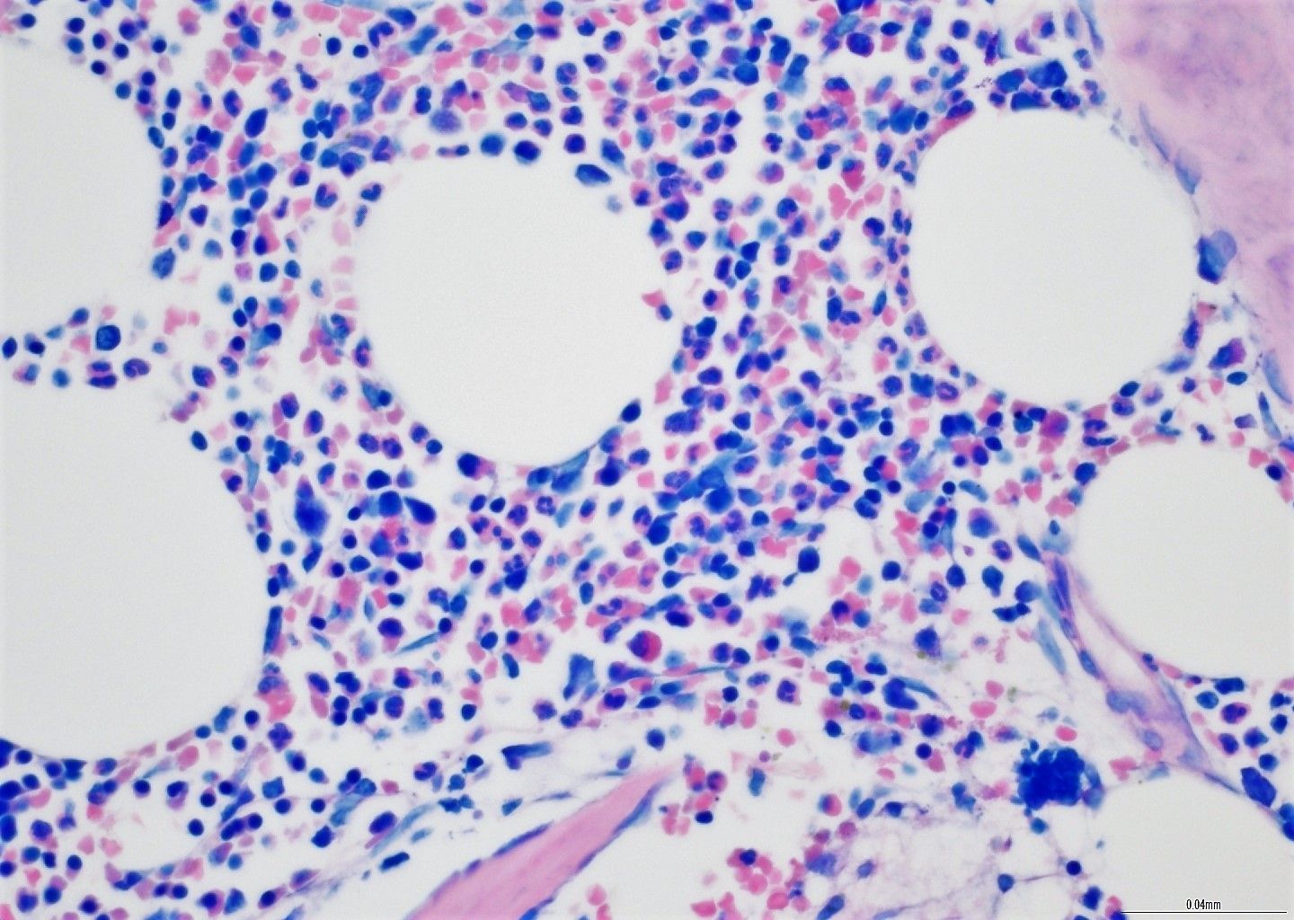
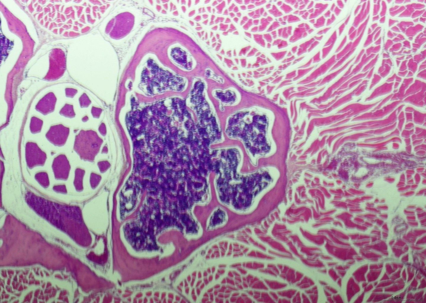
- Demonstração de alvos específicos de células sanguíneas na biópsia de TMO
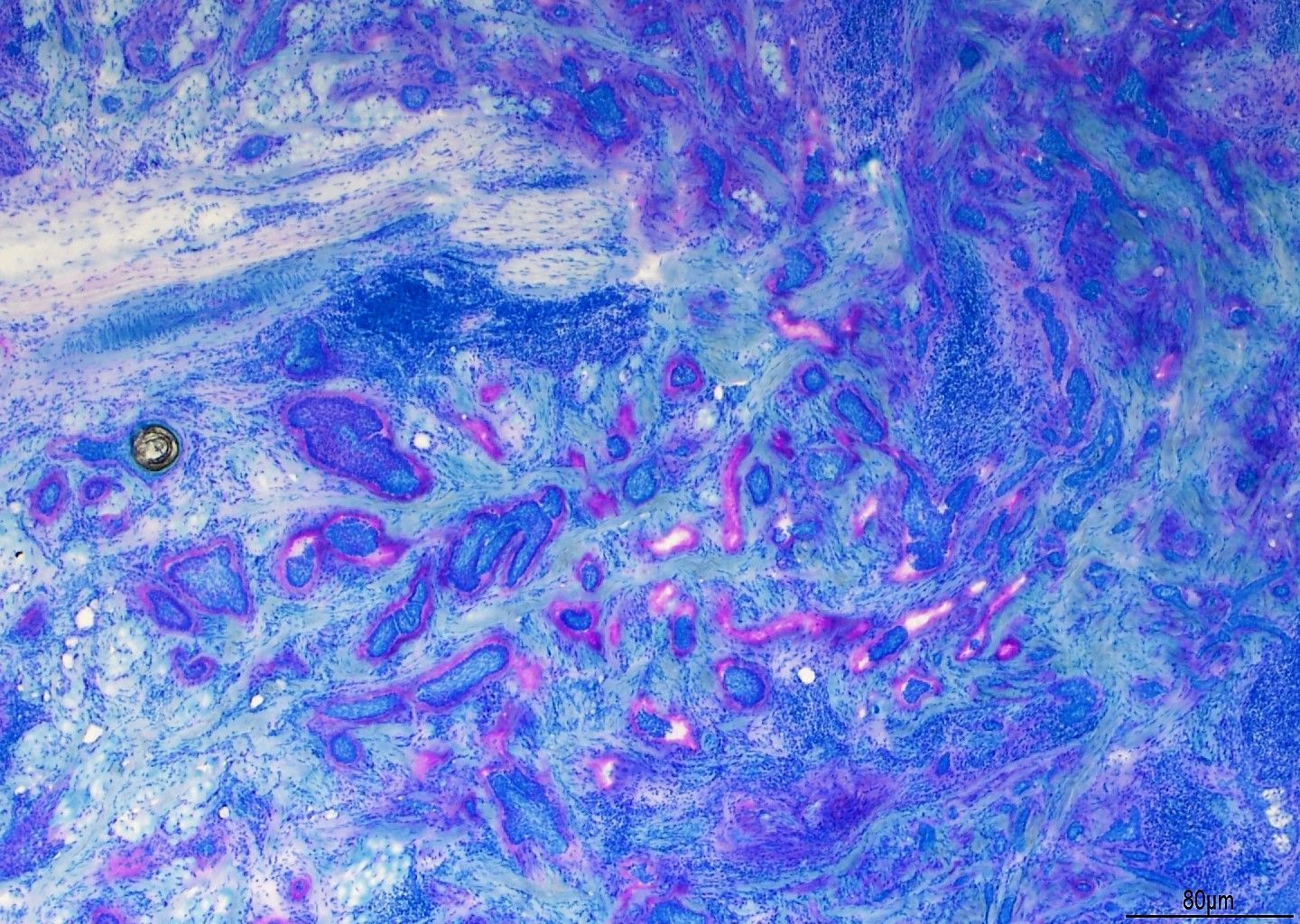
- Cortes de resina semifina para diagnóstico
Os resultados desses esquemas podem ser usados para fins de validação ou verificação interna, mas não são credenciados externamente.
Entre na Área de Membros usando seu Número de Laboratório exclusivo para acessar benefícios exclusivos, incluindo;
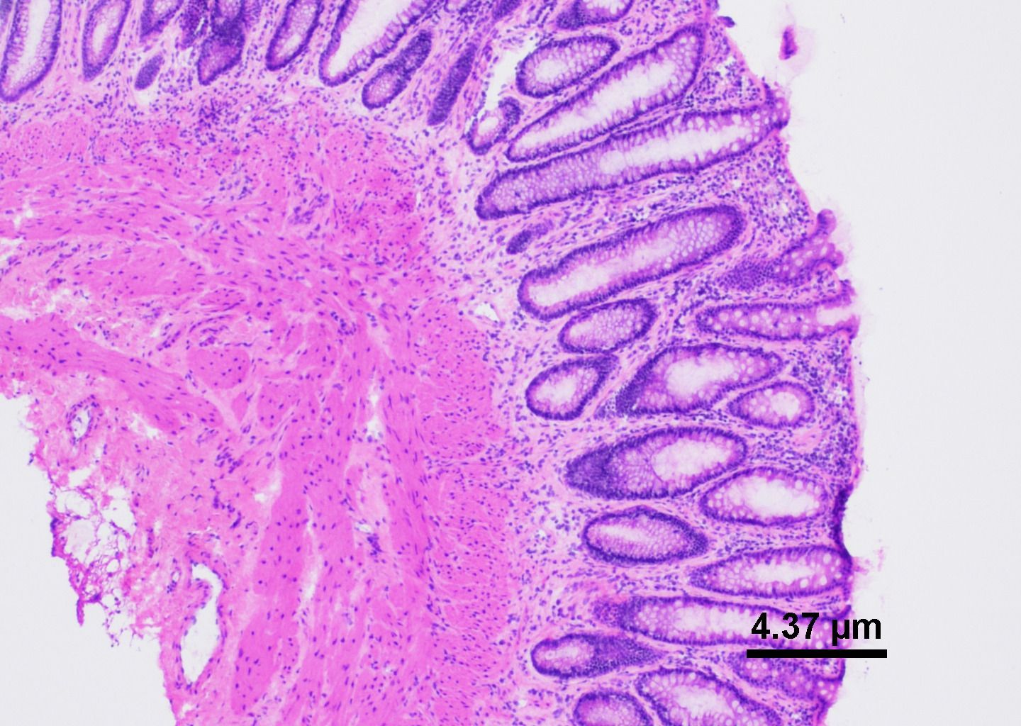
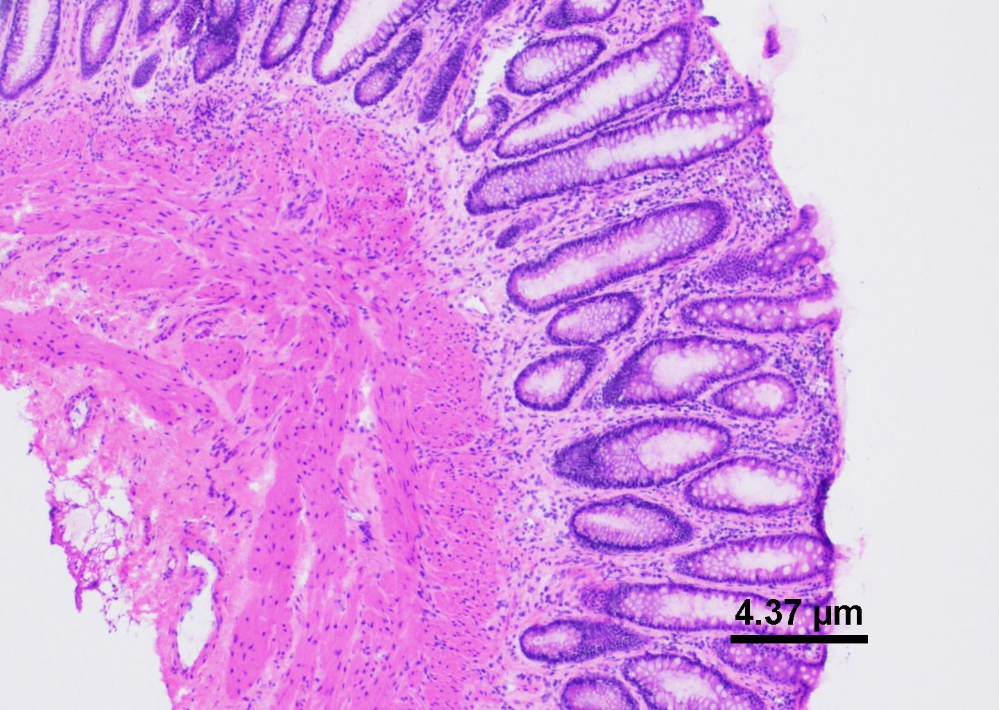
- Biblioteca on-line de imagens coloridas mostrando coloração ótima e subótima
- Biblioteca online dos melhores métodos
- Boletins informativos do NEQAS CPT do Reino Unido
- Resultados da Avaliação
- Repertório

















