ANG ATING MGA SCHEME
Nag-aalok ang UK NEQAS CPT ng malawak na hanay ng slide, tissue at digital based na teknikal at interpretive na EQA at mga Scheme at serbisyo sa pagsubok ng kasanayan, para sa indibidwal at laboratoryong kakayahan.
Ang aming mga Scheme ay maaaring iayon sa mga kinakailangan at repertoire ng bawat organisasyon ng Kalahok.
Pumili ng scheme para sa higit pang impormasyon.
MGA KASAMA NA SCHEME
Paunawa sa Akreditasyon para sa Mga Kasamang Scheme
Mangyaring magkaroon ng kamalayan na bagama't ang UK NEQAS CPT ay isang UKAS-accredited proficiency testing provider (No. 8268), ang mga sumusunod na scheme ay hindi kasama sa ilalim ng akreditasyong ito:
- Pagpapakita ng Mga Tukoy na Target ng Blood Cell sa loob ng BMT Biopsy
- Diagnostic Semi-Thin Resin Sections
Ang mga resulta mula sa mga scheme na ito ay maaaring gamitin para sa panloob na pagpapatunay o mga layunin ng pag-verify ngunit hindi kinikilala sa labas.
Mag-login sa Members' Area gamit ang iyong natatanging Lab Number para ma-access ang mga eksklusibong benepisyo kabilang ang;
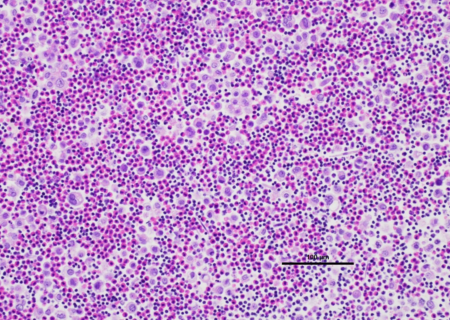
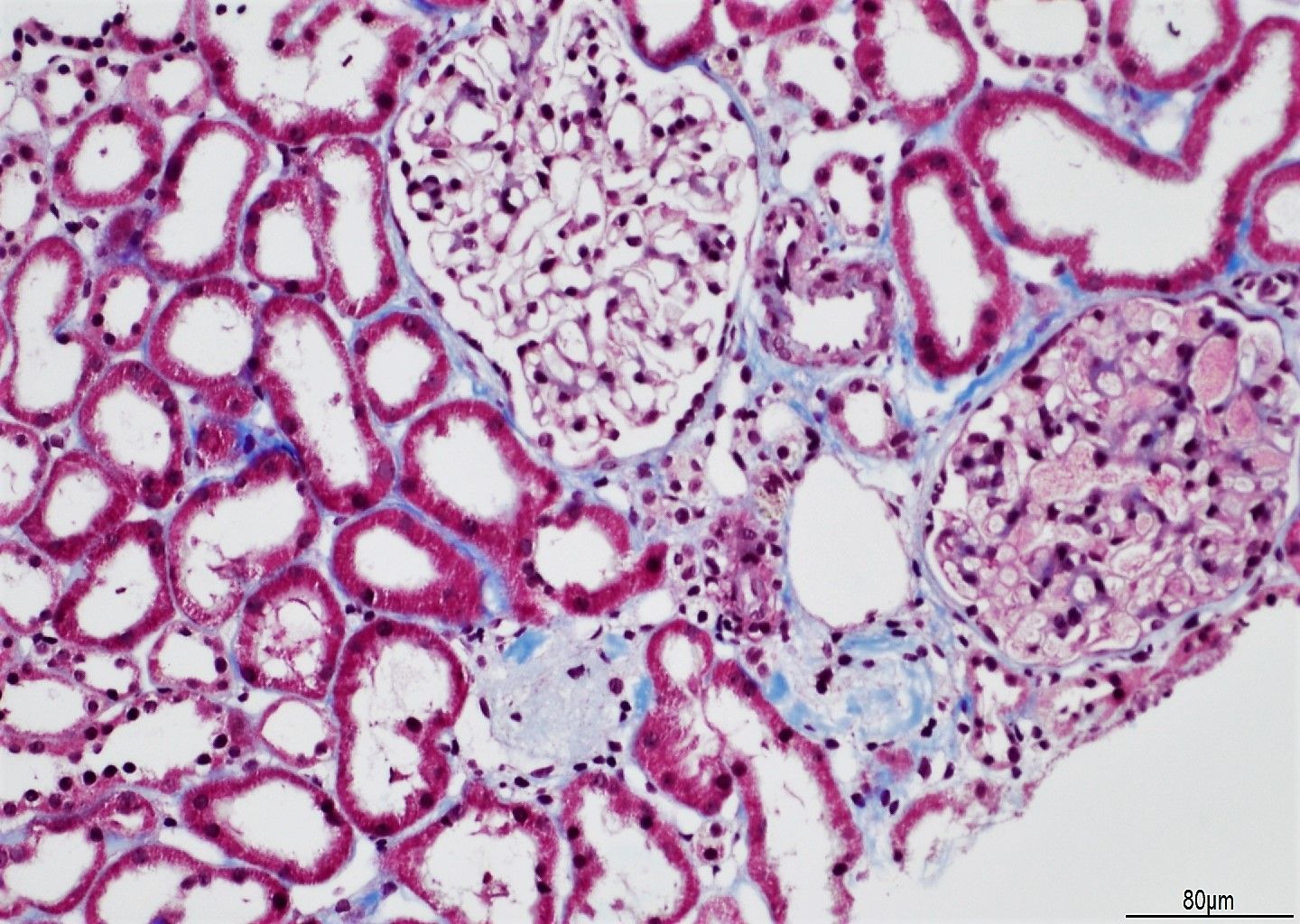
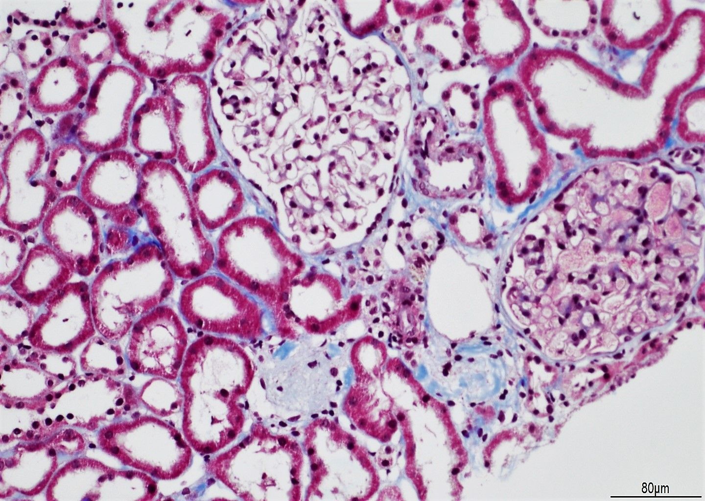
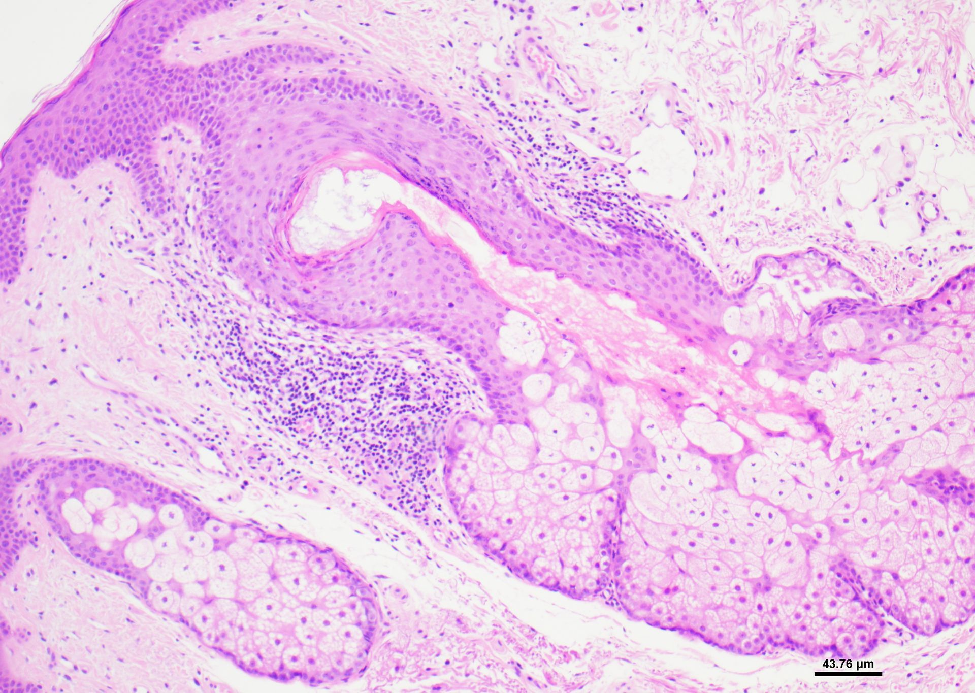
- Online na library ng mga larawang may kulay na nagpapakita ng pinakamainam at sub-optimal na paglamlam
- Online na library ng mga pinakamahusay na pamamaraan
- UK NEQAS CPT Newsletter
- Mga Resulta ng Pagtatasa
- Repertoire

















