ONZE PLANNEN
NEQAS CPT in het Verenigd Koninkrijk biedt een breed scala aan technische en interpretatieve EQA- en vaardigheidstestprogramma's en -diensten op basis van objectglaasjes, weefsel en digitale apparatuur, voor individuele en laboratoriumcompetentie.
Onze regelingen kunnen worden afgestemd op de behoeften en het repertoire van elke deelnemende organisatie.
Selecteer een schema voor meer informatie.
BEGELEIDINGSPROGRAMMA'S
Accreditatiekennisgeving voor begeleidende programma's
Houd er rekening mee dat UK NEQAS CPT weliswaar een door UKAS geaccrediteerde aanbieder van bekwaamheidstesten is (nr. 8268), maar dat de volgende programma's niet onder deze accreditatie vallen:
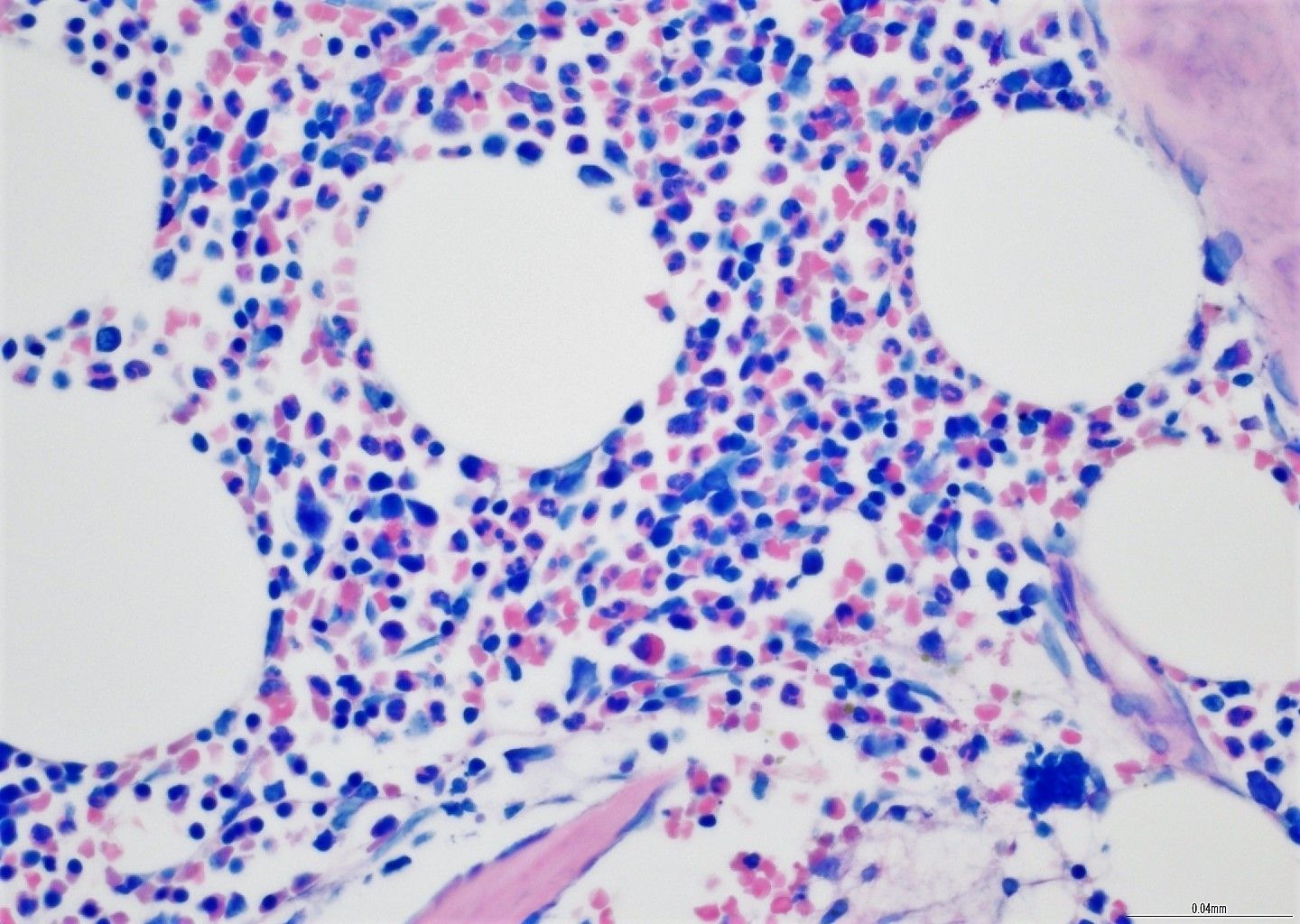
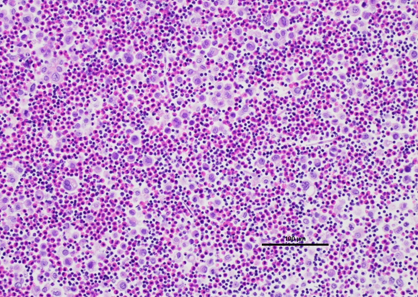
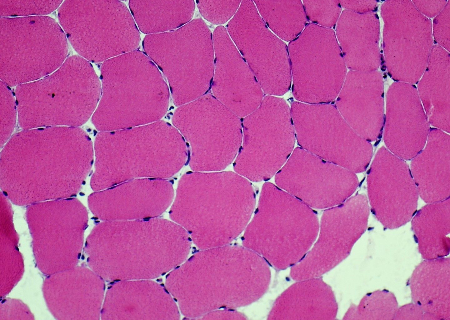
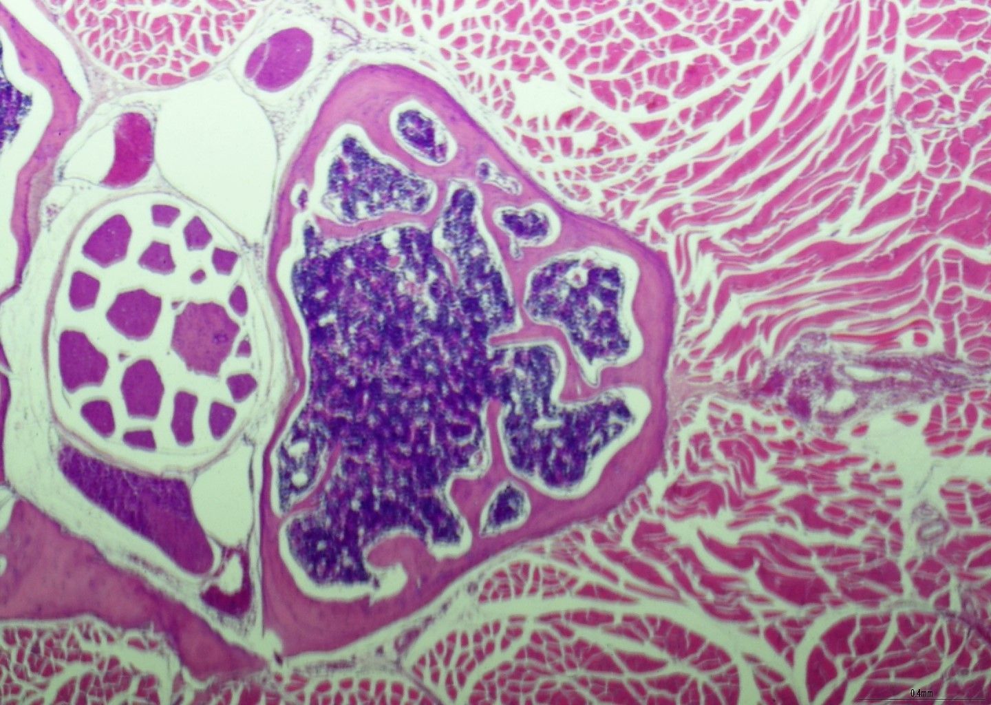
- Demonstratie van specifieke bloedcellendoelen binnen de BMT-biopsie
- Diagnostische halfdunne harssecties
Resultaten van deze programma's kunnen worden gebruikt voor interne validatie- of verificatiedoeleinden, maar worden niet extern geaccrediteerd.
Meld u aan bij het ledengedeelte met uw unieke labnummer om toegang te krijgen tot exclusieve voordelen, waaronder:
- Online bibliotheek met kleurenfoto's die optimale en suboptimale kleuring laten zien
- Online bibliotheek met beste methoden
- UK NEQAS CPT-nieuwsbrieven
- Beoordelingsresultaten
- Repertoire

















