Ευρετήριο εικόνων διαφανειών CPTCast - Κάντε κλικ στις παρακάτω εικόνες για μεγέθυνση
Σχέδιο BMT
Ορίστε μια διαφάνεια από το σχήμα BMT. Αφαιρέθηκαν βαθμοί για χρώση υποβάθρου και μη ειδική εναπόθεση αργύρου που καλύπτουν την επίδειξη των ινών. Αυτή η διαφάνεια βαθμολογήθηκε με 5/10.
Κουμπί
NADH - Μυϊκό Σχέδιο
Ακολουθεί ένα παράδειγμα διαφάνειας από το Muscle Scheme μας που δείχνει τη μέθοδο NADH. Αυτή η εικόνα δείχνει εξαιρετική επίδειξη τύπου ινών και βαθμολογήθηκε με 10/10 στην αξιολόγηση!
Κουμπί
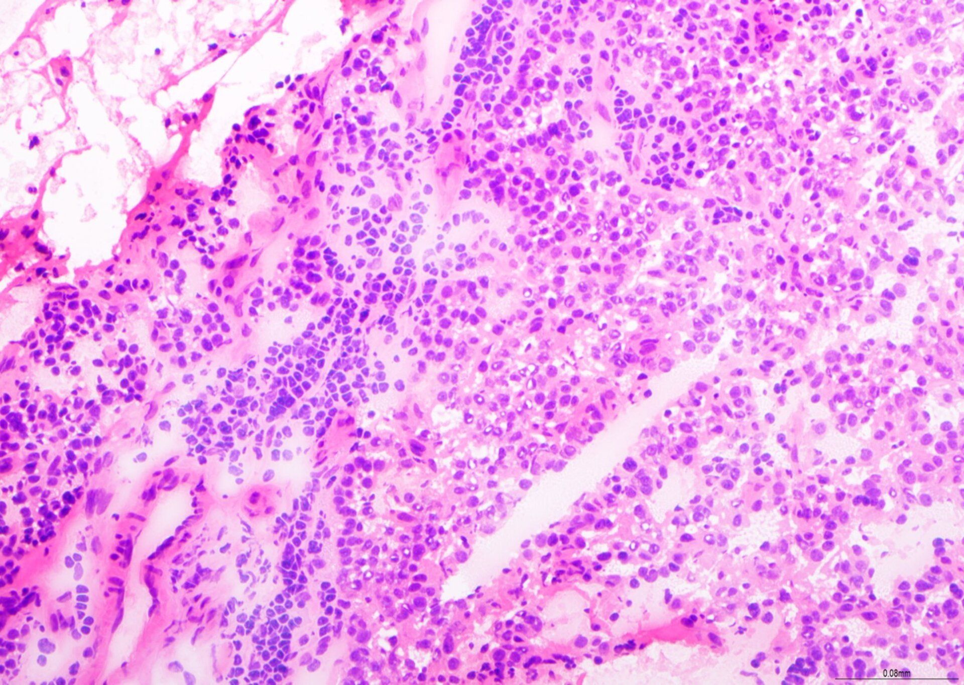
H&E - Πρόγραμμα BMT
Πρόκειται για μια εξαιρετική προετοιμασία βιοψίας BMT, με ισορροπημένη χρώση H&E, καλή λεπτομέρεια χρωματίνης και επιλεκτική χρώση κυτταρικών τύπων εντός του ιστού του μυελού των οστών. Αυτή η διαφάνεια βαθμολογήθηκε με 9/10 κατά την αξιολόγηση.
Κουμπί
Martius Scarlet Blue
Αυτό είναι ένα παράδειγμα αντικειμενοφόρου πλάκας που χρωματίστηκε με Martius Scarlet Blue για την επίδειξη της ινώδους. Όλη η ινώδης ουσία θα πρέπει να έχει έντονο χρώμα και να διακρίνεται από άλλες δομές. Θα πρέπει να υπάρχει καλός διαχωρισμός χρωμάτων μεταξύ των χρωστικών για τα ερυθρά αιμοσφαίρια (κίτρινο), τους μύες (κόκκινο) και το κολλαγόνο (μπλε). Η πυρηνική χρώση θα πρέπει να είναι σκούρο μπλε ή μαύρο. Αυτό είναι ένα εξαιρετικό παράδειγμα που βαθμολογήθηκε με 10/10.
Κουμπί
PAS - Νεφρικό Σχέδιο
Βλέποντας σε x20, αυτό είναι ένα παράδειγμα χρώσης PAS. Αφαιρέθηκαν βαθμοί για «πρωτογενή χρώση υποβάθρου». Παρόλο που οι σπειραματικές βασικές μεμβράνες είναι καλά χρωματισμένες, η αντίθεση θα μπορούσε να είναι καλύτερη εάν υπήρχε λιγότερη χρώση Schiff υποβάθρου. Επιπλέον, παρατηρήθηκαν σταγονίδια νερού κάτω από την καλυπτρίδα. Η συνολική βαθμολογία για αυτήν την ενότητα βαθμολογήθηκε με 7/10.
Κουμπί
Τρίχρωμη Γόμορι – Fresh Muscle
Αυτό είναι παράδειγμα κακώς εκτελεσμένης προετοιμασίας ακολουθούμενης από κακή χρώση. Όπως συμβαίνει με όλες τις μεθόδους χρώσης νωπών μυών, η καλή προετοιμασία είναι το κλειδί. Εάν το εργαστήριό σας αντιμετωπίζει δυσκολίες, μπορείτε να έχετε πρόσβαση στα Πρωτόκολλα Βέλτιστων Μεθόδων και σε πρόσθετες αξιολογήσεις ποιοτικού ελέγχου. Αυτό βαθμολογήθηκε με 2/10.
Κουμπί
Παπανικολάου - Διαγνωστικό Κυτταρολογικό Σχήμα
Αυτό είναι ένα παράδειγμα υγρού σωματικής κοιλότητας που χρωματίστηκε με Παπανικολάου. Το πάχος του παρασκευάσματος είναι ανομοιόμορφο. Η πυρηνική χρώση είναι πολύ έντονη, καλύπτοντας την κυτταροπλασματική χρώση και υπάρχει ασαφής λεπτομέρεια χρωματίνης. Αυτή η διαφάνεια έχει βαθμολογία 6/10.
Κουμπί
Ίνες Glail - Νευροπαθολογικό Σχήμα
Βλέποντας σε x20, αυτό είναι ένα παράδειγμα τεχνικής για την επίδειξη ινών glail. Η χρώση που παρατηρείται εδώ είναι μη βέλτιστη με αδύναμες ίνες. Αυτό βαθμολογήθηκε με 7/10.
Κουμπί
H E - Σχέδιο MOHS
Αυτή η εικόνα δείχνει ένα κατεψυγμένο τμήμα Mohs βαμμένο με H E, όπως φαίνεται στο x4, που επιδεικνύει μια όμορφη τεχνική τηγανίτας. Αυτή η διαφάνεια σημείωσε την υψηλότερη βαθμολογία 10/10.
Κουμπί
Mega Block H E - Σύνθετο σχήμα Mega Block
Αυτή η διαφάνεια δείχνει σημαντικό σχηματισμό φυσαλίδων στον πυρήνα και πυρηνική τήξη. Αυτά τα τεχνουργήματα υποδηλώνουν ατελή στερέωση και ανεπαρκή ή λανθασμένη επεξεργασία. Αυτή η διαφάνεια βαθμολογήθηκε με 5/10.
Κουμπί
Ρομανόφσκι - Διαγνωστικό Κυτταρολογικό Σχέδιο.
Αυτή η διαφάνεια δείχνει εξαιρετική χρώση τόσο του πυρήνα όσο και του κυτταροπλάσματος. Η βαθμολογία της ήταν 9/10 κατά την αξιολόγηση.
Κουμπί
Χρώση Ρετικουλίνης - Σχήμα BMT
Αυτό είναι ένα εξαιρετικό παράδειγμα χρώσης με ρετουκουλίνη. Το ασήμι έχει εμποτισμένη πορεία και λεπτά δίκτυα ινών με υψηλή ειδικότητα. Αυτό βαθμολογήθηκε με 9/10.
Κουμπί
Μπλε Τολουντίν - Σχέδιο Mohs
Αυτό το τμήμα του δέρματος που φέρει τρίχες παρουσιάζει επαρκή χρώση, αλλά παρατηρήθηκε η παρουσία δύο διαφανών πτυχών στο τμήμα. Αυτή η αντικειμενοφόρος πλάκα βαθμολογήθηκε με 7/10.
Κουμπί
Masson Fontanta - Σχέδιο Εξειδικευμένων Τεχνικών
Παρόλο που αυτή η αντίχρωση μπορεί να φαίνεται λίγο βαριά σε αυτήν την εικόνα φωτομικρογραφίας, κατά τη σύγκριση αυτού του τμήματος με άλλα της ίδιας σειράς, θεωρήθηκε ότι μια εξαιρετική βαθμολογία ήταν δικαιολογημένη, καθώς πληρούσε όλα τα κριτήρια αξιολόγησης στις Ειδικές Τεχνικές. Αυτή η διαφάνεια βαθμολογήθηκε με 10/10.
Κουμπί
H E - Σχήμα Mega Block
Υπάρχει σημαντική μορφολογική βλάβη με απώλεια της αδενικής αρχιτεκτονικής, η οποία προκαλείται από κακή στερέωση και επεξεργασία. Τα megablocks γενικά απαιτούν εκτεταμένα ή ενισχυμένα προγράμματα στερέωσης και επεξεργασίας. Αυτή η διαφάνεια βαθμολογείται με χαμηλή βαθμολογία 2/10.
Κουμπί
H E - Σχήμα Mohs
Αυτή η αντικειμενοφόρος πλάκα με χρώση H E δείχνει πτυχώσεις και τσακίσεις, καθώς και παγωμένα αντικείμενα. Υπάρχουν οπές και αντικείμενα κοπής και ολόκληρη η επιδερμίδα δεν είναι ορατή. Η ένταση της αιματοξυλίνης είναι πολύ ασθενής. Αυτή η αντικειμενοφόρος πλάκα βαθμολογήθηκε με 4/10.
Κουμπί
H E - Σχήμα BMT
Φαίνεται σε x20. Συνολικά, μια πολύ καλή προετοιμασία, αλλά αφαιρέθηκαν βαθμοί για πτυχώσεις και τσακίσεις, απώλεια υλικού και χρώση υποβάθρου με αιματοξυλίνη. Αυτή η αντικειμενοφόρος πλάκα βαθμολογήθηκε με 8/10.
Κουμπί
Μεθεναμίνη Αργύρου - Νεφρικό Σχήμα
Φαίνεται σε μεγέθυνση 10x. Δεν υπήρχαν σπειράματα, γεγονός που καθιστά αδύνατη την αξιολόγηση της χρώσης της βασικής μεμβράνης των σπειραμάτων. Το επίπεδο εμποτισμού με άργυρο θεωρήθηκε επίσης πολύ ισχυρό, όπως φαίνεται στα σωληνάρια εδώ. Αφαιρέθηκαν βαθμοί καθώς αυτό το τμήμα θεωρήθηκε «ανεπαρκές για αξιολόγηση». Αυτή η διαφάνεια βαθμολογήθηκε με 2/10.
Κουμπί
Γλοιακή ίνα - Νευροπαθολογικό σχήμα
Βλέποντας την σε x4, αυτή η διαφάνεια δείχνει πολύ αδύναμη επίδειξη. Αυτή η διαφάνεια βαθμολογήθηκε με 4/10.
Κουμπί
Γλοιακή ίνα - Νευροπαθολογικό σχήμα
Βλέποντάς την σε x4, αυτή η διαφάνεια παρουσιάζει εξαιρετική επίδειξη. Αυτή η διαφάνεια βαθμολογήθηκε με 10/10.
Κουμπί
Όξινη Φωσφατάση - Μυϊκό Σχήμα
Βλέποντας σε x10, αυτή η αντικειμενοφόρος πλάκα είναι ένα παράδειγμα μιας αντικειμενοφόρου πλάκας με κακή χρώση. Αφαιρέθηκαν βαθμοί για φυσαλίδες αέρα, ανύψωση και μη επιλεκτικότητα χρώσης, καθώς και για την εναπόθεση πρωτογενούς χρώσης. Αυτή η αντικειμενοφόρος πλάκα βαθμολογήθηκε με 2/10.
Κουμπί
Αιματοξυλίνη & Ηωσίνη - Νεφρικό Σχήμα
Όπως φαίνεται στο x4, αυτό είναι ένα παράδειγμα αντικειμενοφόρου πλάκας χρωματισμένης με αιματοξυλίνη και ηωσίνη. Εκτός από τις πτυχές, τις τσακίσεις και την ανύψωση, αφαιρέθηκαν επίσης βαθμοί για χρώση υποβάθρου αιματοξυλίνης και ασθενή ένταση ηωσίνης. Αυτή η αντικειμενοφόρος πλάκα βαθμολογήθηκε με 7/10.
Κουμπί
Σχέδιο Mohs
Σε μεγέθυνση x4, ορίστε μια διαφάνεια από το σχέδιο Mohs. Αφαιρέθηκαν βαθμοί για: πτυχώσεις και τσακίσεις, υπολείμματα μαχαιριού, τρύπες, αντικείμενα κοπής, πλάκες και μωλωπισμούς, ομοιόμορφη χρώση και παρουσία νερού. Αυτή η διαφάνεια βαθμολογήθηκε με 5/10 στην αξιολόγηση.
Κουμπί
Αιματοξυλίνη & Ηωσίνη - Συνοδευτικό Σχήμα Κατεψυγμένης Χρήσης
Βλέποντας σε x20, αυτό είναι ένα παράδειγμα H E. Υπάρχει πολύ λίγη χρώση ηωσίνης, γεγονός που καθιστά την αρχιτεκτονική αξιολόγηση δύσκολη. Με βάση αυτό, αυτό το τμήμα βαθμολογείται με 5/10.
Κουμπί
Όξινη Φωσφατάση - Μυϊκό Σχήμα
Το όξινο φωσφορικό άλας μπορεί να αποδειχθεί με υδρόλυση. Οι συνθήκες χρώσης πρέπει να ελέγχονται προσεκτικά για να διασφαλιστεί η ειδική επίδειξη του όξινου φωσφορικού άλατος, με το όξινο pH να θεωρείται το βέλτιστο. Αυτό είναι ένα εξαιρετικό παράδειγμα όπου το παρασκεύασμα είναι απαλλαγμένο από εναποθέσεις και υπάρχει ειδική χρώση της δραστικότητας του όξινου φωσφορικού άλατος σε καθαρό φόντο. Αυτή η αντικειμενοφόρος πλάκα βαθμολογήθηκε με 9/10.
Κουμπί
Δείγμα PAP για κεφαλή και τράχηλο - Μη γυναικολογικό πρόγραμμα
Αυτή η διαφάνεια δείχνει μια μονοστρωματική κυτταρική δομή, χωρίς επικαλύψεις ή συσσωματώσεις και εξαιρετική επίδειξη λεπτομερειών χρωματίνης. Αυτή η διαφάνεια βαθμολογήθηκε με 10/10 κατά την αξιολόγηση.
Κουμπί
H E - Σχήμα Mohs
Ακολουθεί μια διαφάνεια H E που δείχνει την εισβολή βασικοκυτταρικού καρκινώματος στον χόνδρο από ιστό που ελήφθη από τη ρινική γέφυρα. Αφαιρέθηκαν βαθμοί για: Ένταση ηωσίνης σε σχοινί, σημάδια από μαχαίρι, πτυχές και τσακίσεις. Αυτή η διαφάνεια βαθμολογήθηκε με 7/10 κατά την αξιολόγηση.
Κουμπί



























