Índice de imágenes de diapositivas CPTCast - Haga clic en las imágenes a continuación para ampliarlas.
Plan BMT
Aquí hay una diapositiva del programa BMT. Se restaron puntos por la tinción de fondo y el depósito de plata inespecífico, que impiden la visualización de las fibras. Esta diapositiva obtuvo una puntuación de 5/10.
Botón
NADH - Esquema muscular
Aquí tienes un ejemplo de una diapositiva de nuestro Esquema Muscular que muestra el método NADH. Esta imagen muestra una excelente demostración del tipo de fibra y obtuvo una puntuación de 10/10 en la evaluación.
Botón
Esquema H&E - BMT
Esta es una excelente preparación de una biopsia de médula ósea, con tinción equilibrada de hematoxilina y eosina, buen detalle de la cromatina y tinción selectiva de los tipos celulares del tejido de la médula ósea. Esta preparación obtuvo una puntuación de 9/10 en la evaluación.
Botón
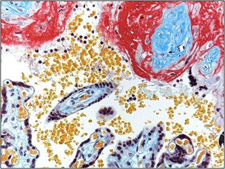
Martius Azul Escarlata
Este es un ejemplo de una preparación teñida con Azul Escarlata de Martius para mostrar la fibrina. Toda la fibrina debe tener un color brillante y distinguirse de otras estructuras. Debe haber una buena separación de color entre los colorantes para glóbulos rojos (amarillo), músculo (rojo) y colágeno (azul). La tinción nuclear debe ser azul oscuro o negra. Este es un excelente ejemplo con una puntuación de 10/10.
Botón
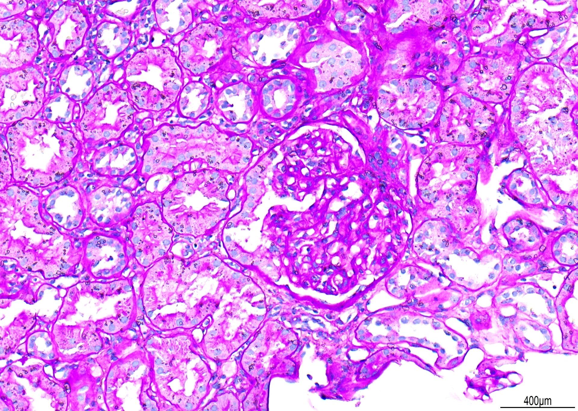
PAS - Esquema Renal
Vista a 20 aumentos, este es un ejemplo de tinción PAS. Se restaron puntos por la tinción de fondo primaria. Aunque las membranas basales glomerulares están bien teñidas, el contraste podría ser mejor si hubiera menos tinción de fondo de Schiff. Además, se observaron gotas de agua bajo el cubreobjetos. La puntuación general de esta sección fue de 7/10.
Botón
Tricromo de Gomori: músculo fresco
Este es un ejemplo de una preparación deficiente seguida de una tinción deficiente. Como ocurre con todos los métodos de tinción de músculo fresco, una buena preparación es fundamental. Si su laboratorio tiene dificultades, puede acceder a los Protocolos de Mejores Métodos y a evaluaciones adicionales de control de calidad. Esta prueba obtuvo una puntuación de 2/10.
Botón
Esquema de citología diagnóstica de Papanicolaou
Este es un ejemplo de líquido de una cavidad corporal teñido mediante Papanicolaou. El espesor de la preparación es irregular. La tinción nuclear es demasiado intensa, enmascarando la tinción citoplasmática, y los detalles de la cromatina son indistintos. Esta diapositiva tiene una puntuación de 6/10.
Botón
Fibras de Glail - Esquema de neuropatología
Vista a 20 aumentos, este es un ejemplo de una técnica para la demostración de fibras de vidrio. La tinción que se observa aquí es subóptima con fibras débiles. Esta puntuación es de 7/10.
Botón
H E - Esquema MOHS
Esta imagen muestra una sección congelada de Mohs con tinción H E, vista a 4 aumentos, que muestra una hermosa técnica de panqueque. Esta diapositiva obtuvo la máxima calificación de 10/10.
Botón
Mega Block H E: esquema complementario de Mega Block
Esta diapositiva muestra un burbujeo nuclear significativo y una fusión nuclear. Estos artefactos sugieren una fijación incompleta y un procesamiento insuficiente o incorrecto. Esta diapositiva obtuvo una puntuación de 5/10.
Botón
Romanowsky Fluido - Esquema de Citología Diagnóstica.
Esta diapositiva muestra una excelente tinción tanto del núcleo como del citoplasma. Obtuvo una puntuación de 9/10 en la evaluación.
Botón
Tinción de reticulina - Esquema BMT
Este es un excelente ejemplo de tinción con reticulina. La plata ha impregnado redes de fibras gruesas y finas con alta especificidad. Obtuvo una puntuación de 9/10.
Botón
Azul de toludina - Esquema de Mohs
Esta sección de piel con pelo presenta una tinción adecuada, pero se observaron dos pliegues claros. Esta diapositiva obtuvo una puntuación de 7/10.
Botón
Masson Fontanta - Plan de Técnicas Especializadas
Aunque esta contratinción puede parecer algo pesada en esta microfotografía, al comparar esta sección con otras del ciclo, se consideró que la puntuación excelente estaba justificada, ya que cumplía con todos los criterios de evaluación de las Técnicas Especializadas. Esta preparación obtuvo una puntuación de 10/10.
Botón
H E - Esquema de megabloques
Se observa un daño morfológico significativo con pérdida de la arquitectura glandular, causado por una fijación y un procesamiento deficientes. Los megabloques generalmente requieren programas de fijación y procesamiento prolongados o mejorados. Esta diapositiva obtuvo una puntuación baja de 2/10.
Botón
H E - Esquema de Mohs
Esta preparación teñida con H E muestra pliegues y arrugas, así como artefactos de congelación. Presenta agujeros y artefactos de recorte, y no se aprecia la epidermis completa. La intensidad de la hematoxilina es demasiado baja. Esta preparación obtuvo una puntuación de 4/10.
Botón
Esquema H E - BMT
Visto a 20 aumentos. En general, una preparación muy buena, pero se restaron puntos por pliegues y arrugas, pérdida de material y tinción de fondo con hematoxilina. Esta preparación obtuvo una puntuación de 8/10.
Botón
Metenamina Plata - Esquema Renal
Observado con un aumento de 10x. No se observaron glomérulos, lo que imposibilita la evaluación de la tinción de la membrana basal glomerular. El nivel de impregnación argéntica también se consideró demasiado alto, como se observa en los túbulos. Se restaron puntos, ya que esta sección se consideró insuficiente para la evaluación. Esta diapositiva obtuvo una puntuación de 2/10.
Botón
Fibra glial - Esquema de neuropatología
Vista a x4, esta diapositiva muestra una demostración muy débil. Obtuvo una puntuación de 4/10.
Botón
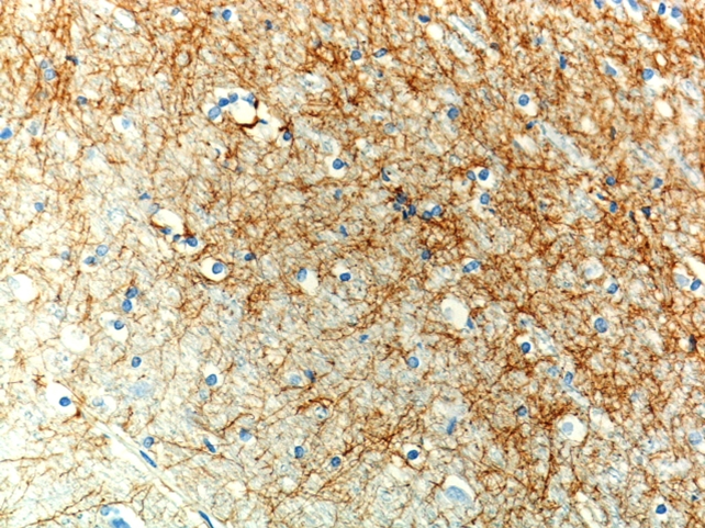
Fibra glial - Esquema de neuropatología
Vista a x4, esta diapositiva muestra una excelente demostración. Obtuvo una puntuación de 10/10.
Botón
Fosfatasa ácida - Esquema muscular
Vista a 10 aumentos, esta lámina es un ejemplo de una lámina mal teñida. Se restaron puntos por burbujas de aire, desprendimiento y falta de selectividad de la tinción, así como por depósito de tinción primaria. Esta lámina obtuvo una puntuación de 2/10.
Botón
Hematoxilina y eosina - Esquema renal
Vista a 4 aumentos, este es un ejemplo de una preparación teñida con hematoxilina y eosina. Además de los pliegues, arrugas y levantamientos, también se restaron puntos por la tinción de fondo con hematoxilina y la baja intensidad de la eosina. Esta preparación obtuvo una puntuación de 7/10.
Botón
Esquema de Mohs
Vista con un aumento de 4x, esta diapositiva muestra el esquema de Mohs. Se dedujeron puntos por: pliegues y arrugas, restos de cuchilla, agujeros, artefacto de recorte, escamas y flotadores, tinción uniforme y presencia de agua. Esta diapositiva obtuvo una puntuación de 5/10 en la evaluación.
Botón
Hematoxilina y eosina - Esquema complementario congelado
Visto a 20 aumentos, este es un ejemplo de H E. La tinción de eosina es muy baja, lo que dificulta la evaluación arquitectónica. Por ello, esta sección obtiene una puntuación de 5/10.
Botón
Fosfatasa ácida - Esquema muscular
El fosfato ácido se puede demostrar mediante hidrólisis. Las condiciones de tinción deben controlarse cuidadosamente para garantizar una demostración específica del fosfato ácido, siendo un pH ácido el óptimo. Este es un excelente ejemplo donde la preparación está libre de depósitos y se observa una tinción específica de la actividad del fosfato ácido sobre un fondo limpio. Esta preparación obtuvo una puntuación de 9/10.
Botón
Muestra de Papanicolaou de cabeza y cuello - Esquema no ginecológico
Esta diapositiva muestra una monocapa de células, sin superposición ni aglomeración, y muestra un excelente detalle de la cromatina. Obtuvo una puntuación de 10/10 en la evaluación.
Botón
H E - Esquema de Mohs
Aquí se muestra una diapositiva con H E que muestra la invasión de carcinoma basocelular en el cartílago a partir de tejido extraído del puente nasal. Se dedujeron puntos por: intensidad de eosina demasiado fuerte, marcas de cuchillo, pliegues y arrugas. Esta diapositiva obtuvo una puntuación de 7/10 en la evaluación.
Botón


























