Índice de imagens de slides do CPTCast - Clique nas imagens abaixo para ampliar
Esquema BMT
Aqui está um slide do esquema BMT. As notas foram deduzidas pela coloração de fundo e pelo depósito de prata não específico que mascara a demonstração das fibras. Este slide recebeu nota 5/10.
Botão
NADH - Esquema Muscular
Aqui está um exemplo de um slide do nosso Esquema Muscular mostrando o método NADH. Esta imagem demonstra perfeitamente o tipo de fibra e obteve nota 10/10 na avaliação!
Botão
H&E - Esquema BMT
Esta é uma excelente preparação para biópsia de TMO, com coloração H&E balanceada, bons detalhes de cromatina e coloração seletiva de tipos celulares no tecido da medula óssea. Esta lâmina recebeu pontuação 9/10 na avaliação.
Botão
Martius Azul Escarlate
Este é um exemplo de lâmina corada com Azul Escarlate de Martius para demonstrar a presença de fibrina. Toda a fibrina deve apresentar coloração brilhante e ser distinguível de outras estruturas. Deve haver boa separação de cores entre os corantes para hemácias (amarelo), músculo (vermelho) e colágeno (azul). A coloração nuclear deve ser azul-escura ou preta. Este é um excelente exemplo com pontuação 10/10.
Botão
PAS - Esquema Renal
Visto em x20, este é um exemplo de coloração PAS. As pontuações foram deduzidas para "coloração primária de fundo". Embora as membranas basais glomerulares estejam bem coradas, o contraste poderia ser melhor se houvesse menos coloração de Schiff de fundo. Além disso, gotículas de água foram observadas sob a lamínula. A pontuação geral para esta seção foi de 7/10.
Botão
Tricromo de Gomori – Músculo Fresco
Este é um exemplo de preparação malfeita seguida de coloração inadequada. Como em todos os métodos de coloração de músculo fresco, uma boa preparação é fundamental. Se o seu laboratório estiver com dificuldades, você pode acessar os Protocolos dos Melhores Métodos e avaliações adicionais de controle de qualidade. Esta avaliação recebeu nota 2/10.
Botão
Papanicolaou - Esquema de Citologia Diagnóstica
Este é um exemplo de fluido de cavidade corporal corado por Papanicolau. A espessura da preparação é irregular. A coloração nuclear é muito intensa, mascarando a coloração citoplasmática, e há detalhes indistintos da cromatina. Esta lâmina recebeu nota 6/10.
Botão
Fibras de Glail - Esquema de Neuropatologia
Visto em x20, este é um exemplo de uma técnica para demonstração de fibras de glail. A coloração vista aqui é abaixo do ideal com fibras fracas. Pontuação 7/10.
Botão
H E - Esquema MOHS
Esta imagem mostra uma seção congelada de Mohs corada com H E, vista em x4, demonstrando uma bela técnica de panqueca. Esta lâmina obteve nota máxima de 10/10.
Botão
Mega Block H E - Esquema complementar do Mega Block
Este slide mostra borbulhamento nuclear significativo e fusão nuclear. Esses artefatos sugerem fixação incompleta e processamento insuficiente ou incorreto. Este slide recebeu nota 5/10.
Botão
Fluido Romanowsky - Esquema de Citologia Diagnóstica.
Esta lâmina mostra excelente coloração do núcleo e do citoplasma. Obteve nota 9/10 na avaliação.
Botão
Coloração de reticulina - Esquema BMT
Este é um excelente exemplo de coloração com retuculina. A prata impregnou redes de fibras grossas e finas com alta especificidade. A pontuação foi 9/10.
Botão
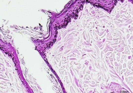
Azul de Toludina - Esquema de Mohs
Esta seção de pele com pelos apresenta coloração adequada, mas foi observada a presença de duas dobras nítidas na seção. Esta lâmina obteve pontuação 7/10.
Botão
Masson Fontanta - Esquema de Técnicas Especializadas
Embora esta contracoloração possa parecer um pouco pesada nesta imagem de fotomicrografia, ao comparar esta seção com outras da mesma série, considerou-se que uma pontuação excelente era justificada, pois atendia a todos os critérios de avaliação das Técnicas Especializadas. Esta lâmina obteve nota 10/10.
Botão
H E - Esquema de Mega Bloco
Há dano morfológico significativo com perda da arquitetura glandular, causado por fixação e processamento inadequados. Megablocos geralmente requerem cronogramas de fixação e processamento prolongados ou aprimorados. Esta lâmina obteve uma pontuação baixa de 2/10.
Botão
H E - Esquema de Mohs
Esta lâmina corada com H E mostra dobras e vincos, além de artefatos de congelamento. Há orifícios e artefatos de corte, e a epiderme completa não é visível. A intensidade da hematoxilina é muito baixa. Esta lâmina obteve nota 4/10.
Botão
H E - Esquema BMT
Visto em x20. No geral, uma preparação muito boa, mas foram deduzidas notas por dobras e vincos, perda de material e coloração de fundo com hematoxilina. Esta lâmina obteve nota 8/10.
Botão
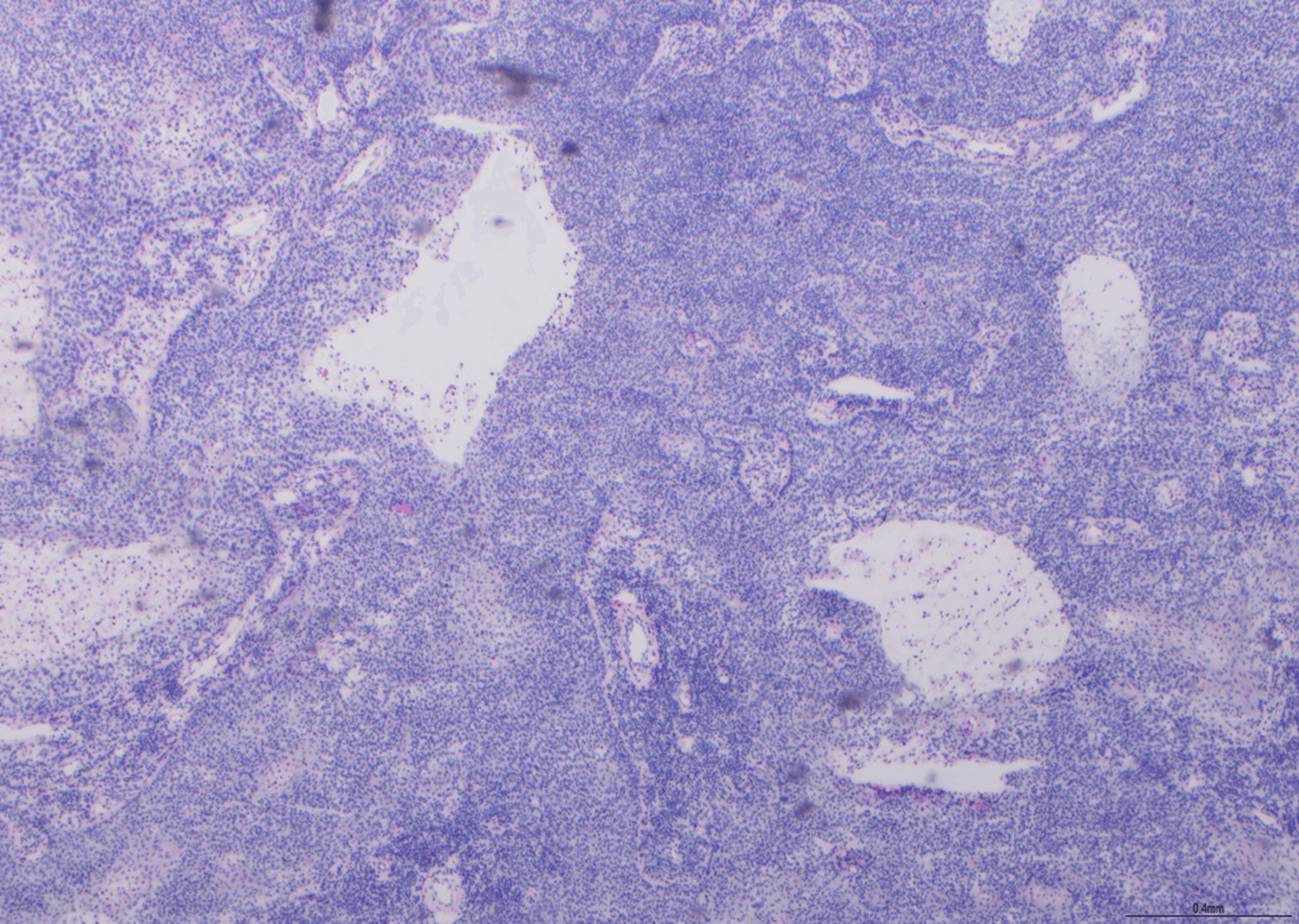
Prata Metenamina - Esquema Renal
Visto com ampliação de 10x. Não havia glomérulos presentes, o que impossibilita a avaliação da coloração da membrana basal glomerular. O nível de impregnação com prata também foi considerado muito forte, como observado nos túbulos aqui. As notas foram deduzidas, pois esta seção foi considerada "insuficiente para avaliação". Esta lâmina obteve pontuação 2/10.
Botão
Fibra Glial - Esquema de Neuropatologia
Visto em x4, este slide mostra uma demonstração muito fraca. Este slide recebeu nota 4/10.
Botão
Fibra Glial - Esquema de Neuropatologia
Visto em x4, este slide mostra uma excelente demonstração. Este slide recebeu nota 10/10.
Botão
Fosfatase Ácida - Esquema Muscular
Visto em x10, esta lâmina é um exemplo de lâmina mal corada. Foram deduzidas notas por bolhas de ar, elevação e não seletividade da coloração, bem como depósito de corante primário. Esta lâmina obteve pontuação de 2/10.
Botão
Hematoxilina e Eosina - Esquema Renal
Visto em x4, este é um exemplo de uma lâmina corada com Hematoxilina e Eosina. Além das dobras, vincos e elevações, também foram deduzidas as marcas de coloração de fundo com Hematoxilina e de fraca intensidade de eosina. Esta lâmina recebeu pontuação 7/10.
Botão
Esquema de Mohs
Visto com ampliação de 4x, aqui está um slide do esquema de Mohs. As notas foram deduzidas para: dobras e vincos, resíduos de faca, furos, artefatos de corte, escamas e moscas volantes, manchas irregulares e presença de água. Este slide obteve nota 5/10 na avaliação.
Botão
Hematoxilina e Eosina - Esquema de Companheiro Congelado
Visto em x20, este é um exemplo de H E. Há muito pouca coloração de eosina, o que torna a avaliação arquitetônica desafiadora. Com base nisso, esta seção recebeu nota 5/10.
Botão
Fosfatase Ácida - Esquema Muscular
O fosfato ácido pode ser demonstrado por hidrólise. As condições de coloração devem ser cuidadosamente controladas para garantir a demonstração específica do fosfato ácido, com um pH ácido considerado ideal. Este é um excelente exemplo em que a preparação está livre de depósitos e há coloração específica da atividade do fosfato ácido contra um fundo limpo. Esta lâmina obteve pontuação 9/10.
Botão
Amostra de cabeça e pescoço PAP - Esquema não ginecológico
Este slide mostra uma monocamada de células, sem sobreposição ou aglomeração, e excelente demonstração de detalhes da cromatina. Este slide obteve nota 10/10 na avaliação.
Botão
H E - Esquema de Mohs
Aqui está uma lâmina H E mostrando a invasão de carcinoma basocelular na cartilagem a partir de tecido retirado da ponte nasal. As notas foram deduzidas por: intensidade de eosina em cordão, marcas de faca, dobras e vincos. Esta lâmina obteve nota 7/10 na avaliação.
Botão



























