CPTCast Dia-afbeeldingsindex - Klik op de onderstaande afbeeldingen om ze te vergroten
BMT-regeling
Hier is een dia uit het BMT-programma. Er werden punten afgetrokken voor achtergrondkleuring en niet-specifieke zilverafzetting, die de zichtbare vezels maskeren. Deze dia scoorde 5/10.
Knop
NADH - Spierschema
Hier is een voorbeeld van een dia uit ons Muscle Scheme die de NADH-methode laat zien. Deze afbeelding toont een uitstekende demonstratie van vezeltypen en scoorde een 10/10 bij de beoordeling!
Knop
H&E - BMT-regeling
Dit is een uitstekende voorbereiding op een BMT-biopsie, met een evenwichtige H&E-kleuring, goede chromatinedetails en selectieve kleuring van celtypen in het beenmergweefsel. Deze slide kreeg een 9/10 bij de beoordeling.
Knop
Martius Scharlakenblauw
Dit is een voorbeeld van een preparaat gekleurd met Martius Scarlet Blue om fibrine aan te tonen. Alle fibrine moet helder gekleurd zijn en goed te onderscheiden van andere structuren. Er moet een goede kleurscheiding zijn tussen de kleurstoffen voor rode bloedcellen (geel), spieren (rood) en collageen (blauw). De nucleaire kleuring moet donkerblauw of zwart zijn. Dit is een uitstekend voorbeeld met een score van 10/10.
Knop
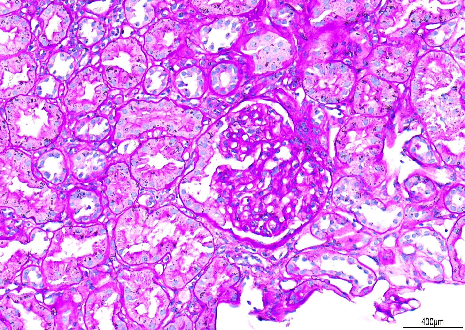
PAS - Nierregeling
Gezien bij x20 is dit een voorbeeld van een PAS-kleuring. Er werden punten afgetrokken voor 'primaire achtergrondkleuring'. Hoewel de glomerulaire basale membranen goed gekleurd zijn, zou het contrast beter kunnen zijn met minder Schiff-achtergrondkleuring. Daarnaast waren er waterdruppels onder het dekglaasje te zien. De totaalscore voor deze sectie was 7/10.
Knop
Gomori's Trichrome – Verse Spieren
Dit is een voorbeeld van een slecht uitgevoerde voorbereiding gevolgd door een slechte kleuring. Zoals bij alle methoden voor verse spierkleuring is een goede voorbereiding essentieel. Als uw laboratorium problemen ondervindt, kunt u de protocollen voor beste methoden en aanvullende kwaliteitscontrolebeoordelingen raadplegen. Deze score was 2/10.
Knop
Papanicolaou - Diagnostisch cytologieschema
Dit is een voorbeeld van een lichaamsholtevloeistof gekleurd door Papanicolaou. De dikte van de preparatie is ongelijk. De nucleaire kleuring is te intens, maskeert de cytoplasmatische kleuring en er is onduidelijk chromatinedetail. Deze dia scoort een 6/10.
Knop
Glailvezels - Neuropathologieschema
Gezien op x20, is dit een voorbeeld van een techniek voor de demonstratie van glailvezels. De kleuring die hier te zien is, is suboptimaal bij zwakke vezels. Deze score was 7/10.
Knop
H E - MOHS-regeling
Deze afbeelding toont een H E-gekleurde Mohs-vriescoupe, bekeken op x4, die een prachtige pannenkoektechniek demonstreert. Deze dia scoorde de hoogste score van 10/10.
Knop
Mega Block H E- Mega Block-metgezelschema
Deze dia toont significante nucleaire bubbels en een nucleaire meltdown. Deze artefacten wijzen op onvolledige fixatie en onvoldoende of onjuiste verwerking. Deze dia scoorde een 5/10.
Knop
Vloeibaar Romanowsky - Diagnostisch Cytologie Schema.
Deze dia toont een uitstekende kleuring van zowel de celkern als het cytoplasma. De dia scoorde een 9/10 bij de beoordeling.
Knop
Reticulinekleuring - BMT-schema
Dit is een uitstekend voorbeeld van retuculinekleuring. Het zilver heeft grove en fijne vezelnetwerken met een hoge specificiteit geïmpregneerd. Dit scoorde een 9/10.
Knop
Toludineblauw - Mohs-schema
Dit deel van de behaarde huid vertoont voldoende kleuring, maar er zijn twee duidelijke plooien in het deel opgemerkt. Deze dia scoorde een 7/10.
Knop
Masson Fontanta - Specialistentechniekenschema
Hoewel deze tegenkleuring op deze microfoto misschien wat zwaar lijkt, was bij vergelijking van deze sectie met andere in de run een uitstekende score gerechtvaardigd, aangezien deze voldeed aan alle beoordelingscriteria van de Specialistische Technieken. Dit preparaat scoorde een 10/10.
Knop
H E - Mega Block Schema
Er is sprake van aanzienlijke morfologische schade met verlies van glandulaire architectuur, veroorzaakt door slechte fixatie en verwerking. Megablokken vereisen over het algemeen verlengde of verbeterde fixatie- en verwerkingsschema's. Deze dia scoort een lage 2/10.
Knop
H E - Mohs-schema
Deze met H E gekleurde dia toont vouwen en kreukels, en een vriesartefact. Er zijn gaten en een afsnijdingsartefact, en de volledige opperhuid is niet zichtbaar. De hematoxyline-intensiteit is te zwak. Deze dia scoorde een 4/10.
Knop
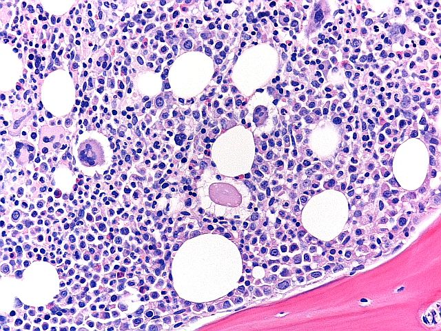
H E - BMT-regeling
Gezien bij x20. Over het algemeen een zeer goede voorbereiding, maar er werden punten afgetrokken voor vouwen en kreukels, materiaalverlies en hematoxyline-achtergrondkleuring. Dit preparaat scoorde een 8/10.
Knop
Methenamine Zilver - Nierschema
Gezien met een vergroting van 10x. Er waren geen glomeruli aanwezig, waardoor de beoordeling van de glomerulaire basaalmembraankleuring onmogelijk is. De zilverimpregnatie werd ook als te sterk beschouwd, zoals te zien is in de tubuli hier. Er werden punten afgetrokken omdat dit gedeelte als 'onvoldoende voor beoordeling' werd beschouwd. Dit preparaat scoorde 2/10.
Knop
Gliavezels - Neuropathologie Schema
Gezien op x4, toont deze dia een zeer zwakke demonstratie. Deze dia scoorde een 4/10.
Knop
Gliavezels - Neuropathologie Schema
Deze dia, bekeken op x4, toont een uitstekende demonstratie. Deze dia scoorde een 10/10.
Knop
Zuurfosfatase - Spierschema
Gezien op x10 is dit preparaat een voorbeeld van een slecht gekleurd preparaat. Er werden punten afgetrokken voor luchtbellen, loslaten en niet-selectiviteit van de kleuring, evenals voor primaire vlekafzetting. Dit preparaat scoorde 2/10.
Knop
Haematoxyline & Eosine - Nierschema
Gezien op x4, is dit een voorbeeld van een met hematoxyline en eosine gekleurd preparaat. Naast de vouwen, kreukels en het loskomen van de plooien, werden ook punten afgetrokken voor hematoxyline-achtergrondkleuring en zwakke eosine-intensiteit. Dit preparaat kreeg een score van 7/10.
Knop
Mohs-schema
Gezien bij een vergroting van x4, is dit een preparaat uit de Mohs-methode. Punten werden afgetrokken voor: vouwen en kreukels, mesresten, gaten, snij-artefacten, schilfers en zwevende deeltjes, oneffen vlekken en de aanwezigheid van water. Dit preparaat scoorde een 5/10 bij de beoordeling.
Knop
Haematoxyline & Eosine - Bevroren Begeleidingsschema
Gezien op x20 is dit een voorbeeld van een H E. Er is zeer weinig eosinekleuring, wat de architectonische beoordeling lastig maakt. Op basis daarvan scoort deze sectie een 5/10.
Knop
Zuurfosfatase - Spierschema
Zuurfosfaat kan worden aangetoond door hydrolyse. De kleuringsomstandigheden moeten zorgvuldig worden gecontroleerd om een specifieke zuurfosfaatdemonstratie te garanderen, waarbij een zure pH optimaal blijkt te zijn. Dit is een uitstekend voorbeeld waarbij de bereiding vrij is van afzetting en er specifieke kleuring van zuurfosfaatactiviteit is tegen een schone achtergrond. Deze slide scoorde een 9/10.
Knop
PAP-monster van hoofd en hals - Niet-gynaecologisch schema
Deze dia toont een monolaag cellen, zonder overlapping of klontering, en een uitstekende demonstratie van chromatinedetails. Deze dia scoorde een 10/10 bij de beoordeling.
Knop
H E - Mohs-schema
Hier is een H E-dia die de invasie van basaalcelcarcinoom in kraakbeen laat zien vanuit weefsel afkomstig van de neusbrug. Punten werden afgetrokken voor: te sterke eosine-intensiteit, messporen, plooien en vouwen. Deze dia scoorde een 7/10 bij de beoordeling.
Knop



























