CPTCast-billedindeks - Klik på billederne nedenfor for at forstørre dem
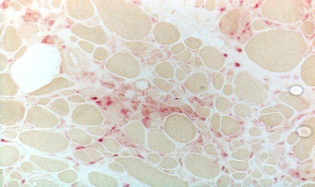
BMT-ordningen
Her er et dias fra BMT-skemaet. Der blev trukket point fra for baggrundsfarvning og uspecifik sølvaflejring, som maskerer demonstrationen af fibrene. Dette dias fik 5/10.
Knap
NADH - Muskelskema
Her er et eksempel på et dias fra vores muskelskema, der viser NADH-metoden. Dette billede viser en fremragende demonstration af fibertyper og fik en score på 10/10 ved vurderingen!
Knap
H&E - BMT-ordning
Dette er en fremragende forberedelse til en BMT-biopsi med afbalanceret H&E-farvning, god kromatindetaljering og selektiv farvning af celletyper i knoglemarvsvævet. Dette præparat blev scoret 9/10 ved vurdering.
Knap
Martius Skarlagenrød Blå
Dette er et eksempel på et præparat farvet med Martius Scarlet Blue for at demonstrere fibrin. Alt fibrin skal være farvestrålende og kunne skelnes fra andre strukturer. Der skal være god farveseparation mellem farvestofferne til røde blodlegemer (gul), muskel (rød) og kollagen (blå). Nuklearfarvningen skal være mørkeblå eller sort. Dette er et fremragende eksempel, der scorede 10/10.
Knap
PAS - Nyreordning
Set ved x20 er dette et eksempel på en PAS-farvning. Der blev trukket point fra for 'primær baggrundsfarvning'. Selvom de glomerulære basalmembraner er godt farvede, kunne kontrasten være bedre, hvis der var mindre Schiff-baggrundsfarvning. Derudover blev der set vanddråber under dækglasset. Den samlede score for dette afsnit var 7/10.
Knap
Gomoris trikrom – frisk muskel
Dette er et eksempel på en dårligt udført forberedelse efterfulgt af dårlig farvning. Som det er med alle metoder til farvning af friske muskler, er god forberedelse nøglen. Hvis dit laboratorium har problemer, kan du få adgang til Best Methods Protocols og yderligere kvalitetskontrolvurderinger. Dette scorede 2/10.
Knap
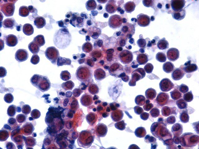
Papanicolaou - Diagnostisk cytologiskema
Dette er et eksempel på en kropskavitetsvæske farvet af Papanicolaou. Præparatets tykkelse er ujævn. Nuklearfarvningen er for intens, maskerer den cytoplasmiske farvning, og der er utydelige kromatindetaljer. Dette præparat giver en score på 6/10.
Knap
Glail-fibre - Neuropatologiskema
Set ved x20 er dette et eksempel på en teknik til demonstration af glailfibre. Farvningen set her er suboptimal med svage fibre. Dette scorede 7/10.
Knap
H E - MOHS-ordning
Dette billede viser et H E-farvet Mohs-frosset snit, set ved x4, som demonstrerer en smuk pandekageteknik. Dette præparat fik topkarakter på 10/10.
Knap
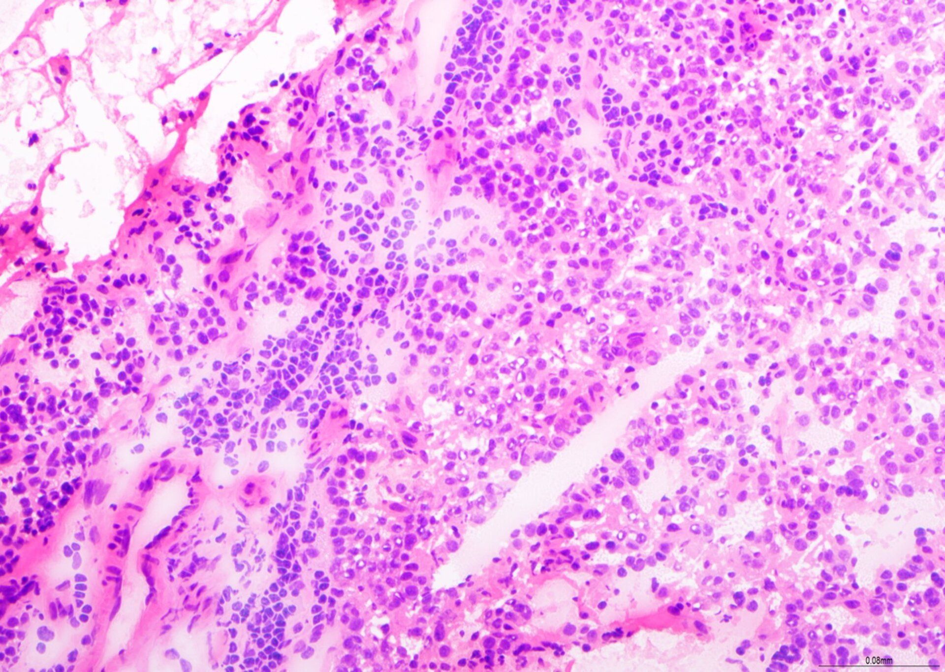
Mega Block H E - Mega Block ledsageordning
Dette dias viser betydelig nuklear bobling og nukleart nedsmeltning. Disse artefakter tyder på ufuldstændig fiksering og under- eller forkert bearbejdning. Dette dias fik en score på 5/10.
Knap
Fluid Romanowsky - Diagnostisk cytologiskema.
Dette præparat viser fremragende farvning af både cellekerne og cytoplasma. Dette fik en score på 9/10 ved vurdering.
Knap
Reticulinfarvning - BMT-skema
Dette er et glimrende eksempel på retuculinfarvning. Sølvet har imprægnerede, grove og fine fibernetværk med høj specificitet. Dette fik en score på 9/10.
Knap
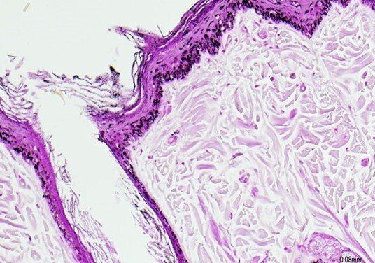
Toludinblåt - Mohs-skema
Dette snit af hårbærende hud viser tilstrækkelig farvning, men der blev observeret to tydelige folder i snittet. Dette præparat scorede 7/10.
Knap
Masson Fontanta - Specialistteknikordning
Selvom denne kontrastfarve kan se lidt tung ud på dette mikroskopiske billede, blev det vurderet, at en fremragende score var berettiget ved sammenligning med andre i kørslen, da den opfyldte alle vurderingskriterierne i specialistteknikkerne. Dette præparat scorede 10/10.
Knap
H E - Mega Block-ordning
Der er betydelig morfologisk skade med tab af kirtelarkitektur forårsaget af dårlig fiksering og bearbejdning. Megablokke kræver generelt udvidede eller forbedrede fikserings- og bearbejdningsplaner. Dette præparat scorer lavt på 2/10.
Knap
H E - Mohs-ordningen
Dette H E-farvede præparat viser folder og krøller samt frysende artefakter. Der er huller og trimningsartefakter, og hele epidermis er ikke synlig. Hæmatoxylinintensiteten er for svag. Dette præparat scorede 4/10.
Knap
H E - BMT-ordning
Set ved x20. Alt i alt en meget god forberedelse, men der blev trukket point fra for folder og krøller, materialetab og baggrundsfarvning med hæmatoxylin. Dette præparat fik en score på 8/10.
Knap
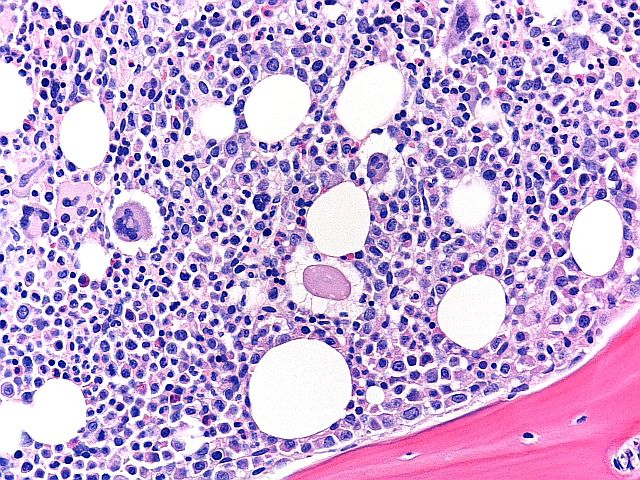
Methenamin sølv - Nyreordning
Set ved 10x forstørrelse. Der var ingen glomeruli til stede, hvilket gør vurdering af glomerulær basalmembranfarvning umulig. Niveauet af sølvimprægnering blev også vurderet som for kraftigt, som set i tubuli her. Der blev trukket point fra, da dette afsnit blev vurderet som 'utilstrækkeligt til vurdering'. Dette præparat scorede 2/10.
Knap
Gliafibre - Neuropatologiskema
Set ved x4 viser dette dias en meget svag demonstration. Dette dias fik 4/10.
Knap
Gliafibre - Neuropatologiskema
Set ved x4 viser dette dias en fremragende demonstration. Dette dias fik 10/10.
Knap
Syrefosfatase - Muskelskema
Set ved x10 er dette præparat et eksempel på et dårligt farvet præparat. Der blev trukket point fra for luftbobler, løft og manglende selektivitet af farvning samt primær farvningsaflejring. Dette præparat fik en score på 2/10.
Knap
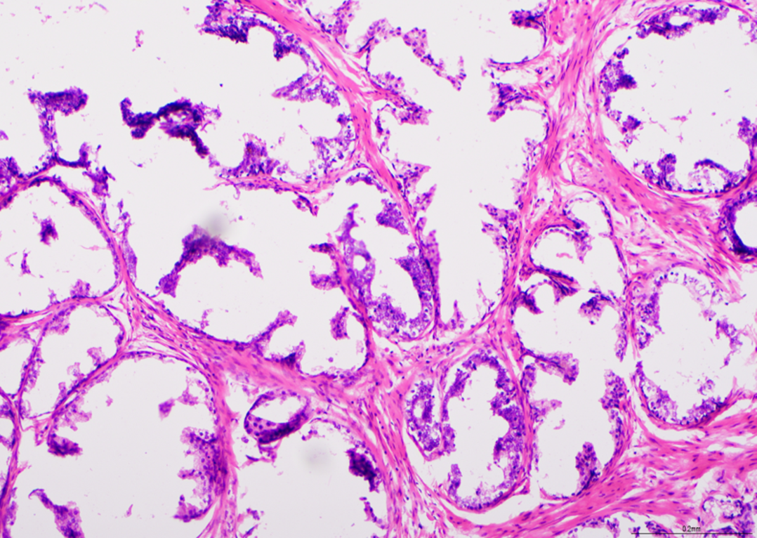
Hæmatoxylin og eosin - Nyreskema
Set ved x4 er dette et eksempel på et hæmatoxylin- og eosin-farvet præparat. Ud over folderne, krøllerne og løftningen blev der også fratrukket point for hæmatoxylin-baggrundsfarvning og svag eosinintensitet. Dette præparat fik en score på 7/10.
Knap
Mohs-ordningen
Set ved 4x forstørrelse, her er et dias fra Mohs-skemaet. Der blev trukket point for: folder og krøller, knivrester, huller, beskæringsgenstande, skæl og flydende pletter, ujævne pletter og tilstedeværelse af vand. Dette dias fik 5/10 ved vurderingen.
Knap
Hæmatoxylin og eosin - Frossen ledsagerordning
Set ved x20 er dette et eksempel på en H E. Der er meget lidt eosinfarvning, hvilket gør en arkitektonisk vurdering udfordrende. På det grundlag får dette afsnit en score på 5/10.
Knap
Syrefosfatase - Muskelskema
Syrefosfat kan påvises ved hydrolyse. Farvningsbetingelserne skal kontrolleres omhyggeligt for at sikre specifik påvisning af surt fosfat, hvor en sur pH-værdi findes at være optimal. Dette er et glimrende eksempel, hvor præparatet er fri for aflejringer, og der er specifik farvning af surt fosfataktivitet mod en ren baggrund. Dette præparat scorede 9/10.
Knap
Hoved- og halsprøve PAP - Ikke-gynækologisk skema
Dette dias viser et enkelt cellelag, ingen overlapning eller klumpning og fremragende demonstration af kromatindetaljer. Dette dias scorede 10/10 ved vurderingen.
Knap
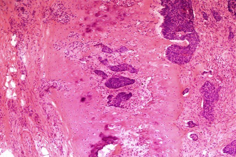
H E - Mohs-ordningen
Her er et H E-dias, der viser invasion af basalcellekarcinom i brusk fra væv taget fra næseryggen. Der blev trukket point fra: Eosinintensitet for strenge, knivmærker, folder og krøller. Dette dias fik en vurdering på 7/10.
Knap



























