Indice delle immagini delle diapositive CPTCast - Clicca sulle immagini sottostanti per ingrandirle
Schema BMT
Ecco una diapositiva dello schema BMT. Sono stati sottratti punti per la colorazione di fondo e il deposito di argento non specifico, che mascherano la dimostrazione delle fibre. Questa diapositiva ha ottenuto un punteggio di 5/10.
Pulsante
NADH - Schema muscolare
Ecco un esempio di una diapositiva del nostro Muscle Scheme che mostra il metodo NADH. Questa immagine mostra un'eccellente dimostrazione del tipo di fibra e ha ottenuto un punteggio di 10/10 nella valutazione!
Pulsante
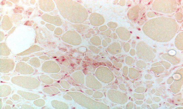
Schema H&E - BMT
Si tratta di un'eccellente preparazione per una biopsia del midollo osseo (BMT), con colorazione H&E bilanciata, buon dettaglio della cromatina e colorazione selettiva dei tipi cellulari all'interno del tessuto midollare. Questo vetrino ha ottenuto un punteggio di 9/10 in fase di valutazione.
Pulsante
Martius Scarlet Blue
Questo è un esempio di un vetrino colorato con Martius Scarlet Blue per dimostrare la fibrina. Tutta la fibrina dovrebbe essere di colore brillante e distinguibile dalle altre strutture. Dovrebbe esserci una buona separazione cromatica tra i coloranti per i globuli rossi (giallo), i muscoli (rosso) e il collagene (blu). La colorazione nucleare dovrebbe essere blu scuro o nera. Questo è un esempio eccellente che ha ottenuto un punteggio di 10/10.
Pulsante
PAS - Schema renale
Questo è un esempio di colorazione PAS, osservato a 20x. Sono stati sottratti punti per la "colorazione di fondo primaria". Sebbene le membrane basali glomerulari siano ben colorate, il contrasto potrebbe essere migliore se ci fosse una minore colorazione di fondo di Schiff. Inoltre, sono state osservate goccioline d'acqua sotto il coprioggetto. Il punteggio complessivo per questa sezione è stato di 7/10.
Pulsante
Tricromia di Gomori – Muscolo fresco
Questo è un esempio di una preparazione eseguita male seguita da una colorazione inadeguata. Come per tutti i metodi di colorazione di muscoli freschi, una buona preparazione è fondamentale. Se il tuo laboratorio riscontra difficoltà, puoi accedere ai protocolli Best Methods e a ulteriori valutazioni di controllo qualità. Questo punteggio è di 2/10.
Pulsante
Papanicolaou - Schema di citologia diagnostica
Questo è un esempio di fluido di cavità corporea colorato con Papanicolaou. Lo spessore della preparazione non è uniforme. La colorazione nucleare è troppo intensa, mascherando quella citoplasmatica, e i dettagli della cromatina sono indistinti. Questo vetrino ha un punteggio di 6/10.
Pulsante
Fibre Glaali - Schema di Neuropatologia
Osservato a 20x, questo è un esempio di tecnica per la dimostrazione delle fibre di vetro. La colorazione osservata qui è subottimale con fibre deboli. Punteggio: 7/10.
Pulsante
Schema H E - MOHS
Questa immagine mostra una sezione congelata di Mohs colorata con H E, osservata a 4x, che dimostra una splendida tecnica a pancake. Questa diapositiva ha ottenuto il punteggio massimo di 10/10.
Pulsante
Mega Block H E - Schema di accompagnamento Mega Block
Questa diapositiva mostra un significativo ribollimento nucleare e una fusione nucleare. Questi artefatti suggeriscono una fissazione incompleta e un'elaborazione insufficiente o errata. Questa diapositiva ha ottenuto un punteggio di 5/10.
Pulsante
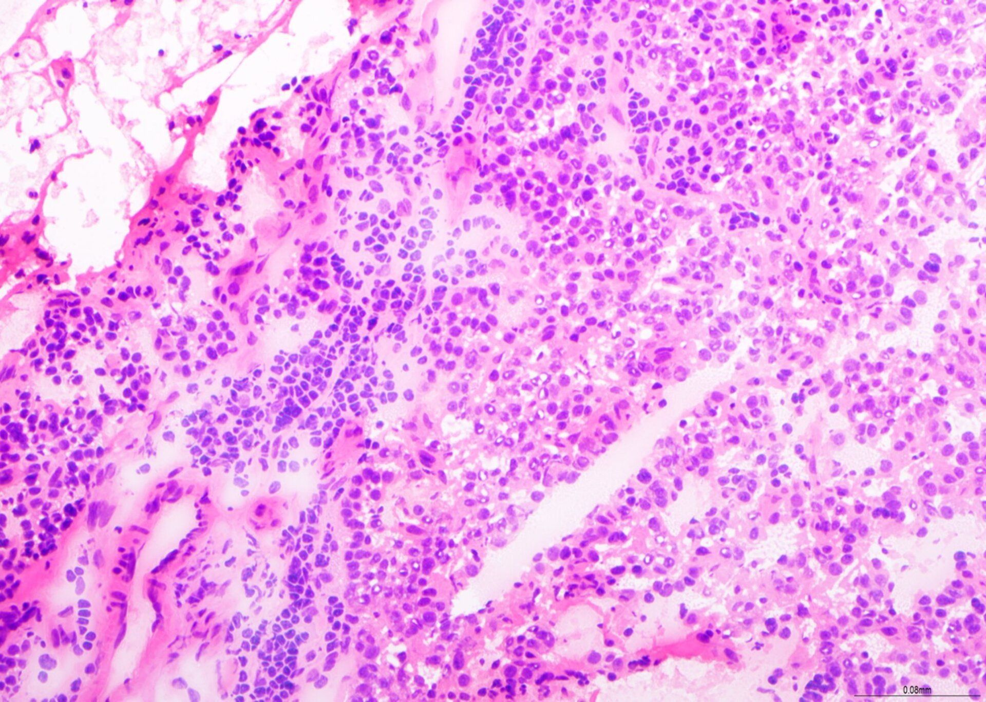
Fluid Romanowsky - Schema di citologia diagnostica.
Questa diapositiva mostra un'eccellente colorazione sia del nucleo che del citoplasma. La valutazione ha ottenuto un punteggio di 9/10.
Pulsante
Colorazione della reticolina - Schema BMT
Questo è un eccellente esempio di colorazione con retuculina. L'argento ha impregnato reticoli di fibre grossolane e fini con elevata specificità. Punteggio 9/10.
Pulsante
Blu di toludina - Schema di Mohs
Questa sezione di pelle con peli mostra una colorazione adeguata, ma sono state notate due pieghe evidenti nella sezione. Questo vetrino ha ottenuto un punteggio di 7/10.
Pulsante
Masson Fontanta - Schema di tecniche specialistiche
Sebbene questa controcolorazione possa apparire un po' pesante in questa immagine microfotografica, confrontando questa sezione con le altre presenti nell'analisi, si è ritenuto che fosse giustificato un punteggio eccellente, in quanto soddisfaceva tutti i criteri di valutazione delle Tecniche Specialistiche. Questo vetrino ha ottenuto un punteggio di 10/10.
Pulsante
H E - Mega Block Scheme
Si riscontra un danno morfologico significativo con perdita dell'architettura ghiandolare, causato da una fissazione e una processazione inadeguate. I megablocchi richiedono generalmente cicli di fissazione e processazione prolungati o potenziati. Questa diapositiva ha un punteggio basso di 2/10.
Pulsante
Schema H E - Mohs
Questo vetrino colorato con H E mostra pieghe e grinze, e artefatti da congelamento. Sono presenti fori e artefatti da rifilatura, e l'epidermide completa non è visibile. L'intensità dell'ematossilina è troppo debole. Questo vetrino ha ottenuto un punteggio di 4/10.
Pulsante
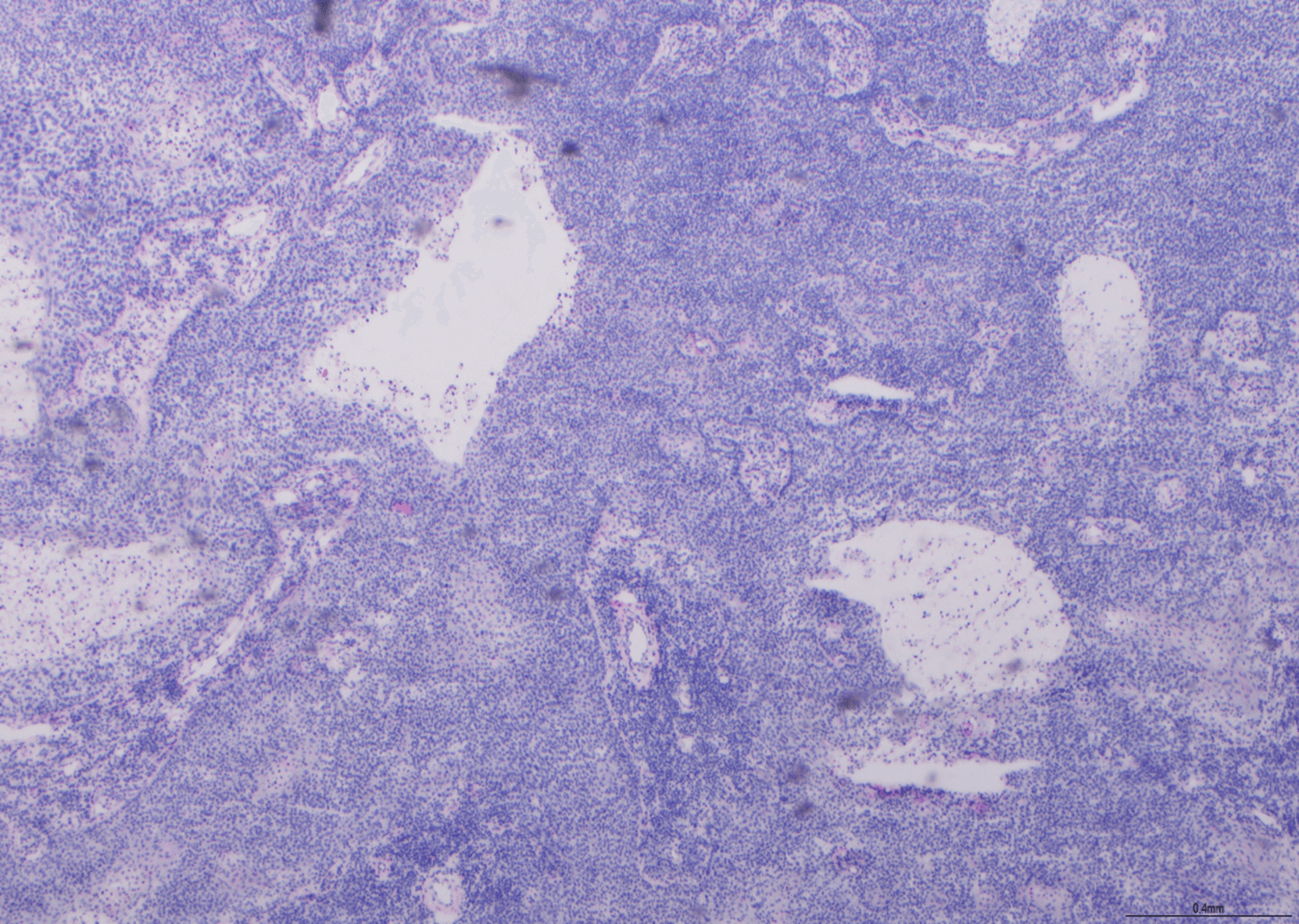
Schema H E - BMT
Osservato a 20x. Nel complesso, un'ottima preparazione, ma sono stati detratti punti per pieghe e grinze, perdita di materiale e colorazione di fondo con ematossilina. Questo vetrino ha ottenuto un punteggio di 8/10.
Pulsante
Metenamina Argento - Schema Renale
Osservato a ingrandimento 10x. Non erano presenti glomeruli, il che rende impossibile la valutazione della colorazione della membrana basale glomerulare. Anche il livello di impregnazione d'argento è stato considerato troppo forte, come si può osservare nei tubuli. Sono stati detratti punti in quanto questa sezione è stata considerata "insufficiente per la valutazione". Questo vetrino ha ottenuto un punteggio di 2/10.
Pulsante
Fibre gliali - Schema di neuropatologia
Vista a x4, questa diapositiva mostra una dimostrazione molto debole. Questa diapositiva ha ottenuto un punteggio di 4/10.
Pulsante
Fibre gliali - Schema di neuropatologia
Visualizzata a 4x, questa diapositiva mostra un'eccellente dimostrazione. Ha ottenuto un punteggio di 10/10.
Pulsante
Fosfatasi acida - Schema muscolare
Osservato a 10x, questo vetrino è un esempio di vetrino scarsamente colorato. Sono stati sottratti punti per bolle d'aria, sollevamento e non selettività della colorazione, nonché per deposito di colorante primario. Questo vetrino ha ottenuto un punteggio di 2/10.
Pulsante
Ematossilina ed Eosina - Schema renale
Osservato a 4x, questo è un esempio di vetrino colorato con ematossilina ed eosina. Oltre alle pieghe, alle grinze e ai sollevamenti, sono stati dedotti anche i segni per la colorazione di fondo con ematossilina e la debole intensità dell'eosina. Questo vetrino ha ricevuto un punteggio di 7/10.
Pulsante
Schema di Mohs
Ecco una diapositiva dello schema di Mohs, vista a ingrandimento x4. Sono stati sottratti punti per: pieghe e grinze, residui di coltello, fori, artefatti di rifilatura, squame e corpi mobili, macchie uniformi e presenza di acqua. Questa diapositiva ha ottenuto un punteggio di 5/10 nella valutazione.
Pulsante
Ematossilina ed eosina - Schema di accompagnamento congelato
Visto a x20, questo è un esempio di H E. La colorazione con eosina è molto scarsa, il che rende difficile la valutazione architettonica. Su questa base, questa sezione ottiene un punteggio di 5/10.
Pulsante
Fosfatasi acida - Schema muscolare
Il fosfato acido può essere dimostrato mediante idrolisi. Le condizioni di colorazione devono essere attentamente controllate per garantire una dimostrazione specifica del fosfato acido, con un pH acido che si è rivelato ottimale. Questo è un esempio eccellente in cui la preparazione è priva di depositi e si osserva una colorazione specifica dell'attività del fosfato acido su uno sfondo pulito. Questo vetrino ha ottenuto un punteggio di 9/10.
Pulsante
Campione di PAP testa e collo - Schema non ginecologico
Questa diapositiva mostra un monostrato di cellule, senza sovrapposizioni o agglomerati, con un'eccellente dimostrazione dei dettagli della cromatina. Questa diapositiva ha ottenuto un punteggio di 10/10 nella valutazione.
Pulsante
Schema H E - Mohs
Ecco una diapositiva H E che mostra l'invasione del carcinoma basocellulare nella cartilagine da tessuto prelevato dal ponte nasale. Sono stati sottratti punti per: intensità dell'eosina troppo forte, segni di coltello, pieghe e grinze. Questa diapositiva ha ottenuto un punteggio di 7/10 nella valutazione.
Pulsante



























