Indeks obrazów slajdów CPTCast - Kliknij na poniższe obrazy, aby je powiększyć
Schemat BMT
Oto slajd ze schematu BMT. Punkty zostały odjęte za przebarwienia tła i niespecyficzne osady srebra, które maskują prezentację włókien. Slajd otrzymał ocenę 5/10.
Przycisk
NADH - Schemat mięśniowy
Oto przykład slajdu z naszego Muscle Scheme, prezentującego metodę NADH. Ten obraz doskonale demonstruje rodzaje włókien i uzyskał ocenę 10/10!
Przycisk
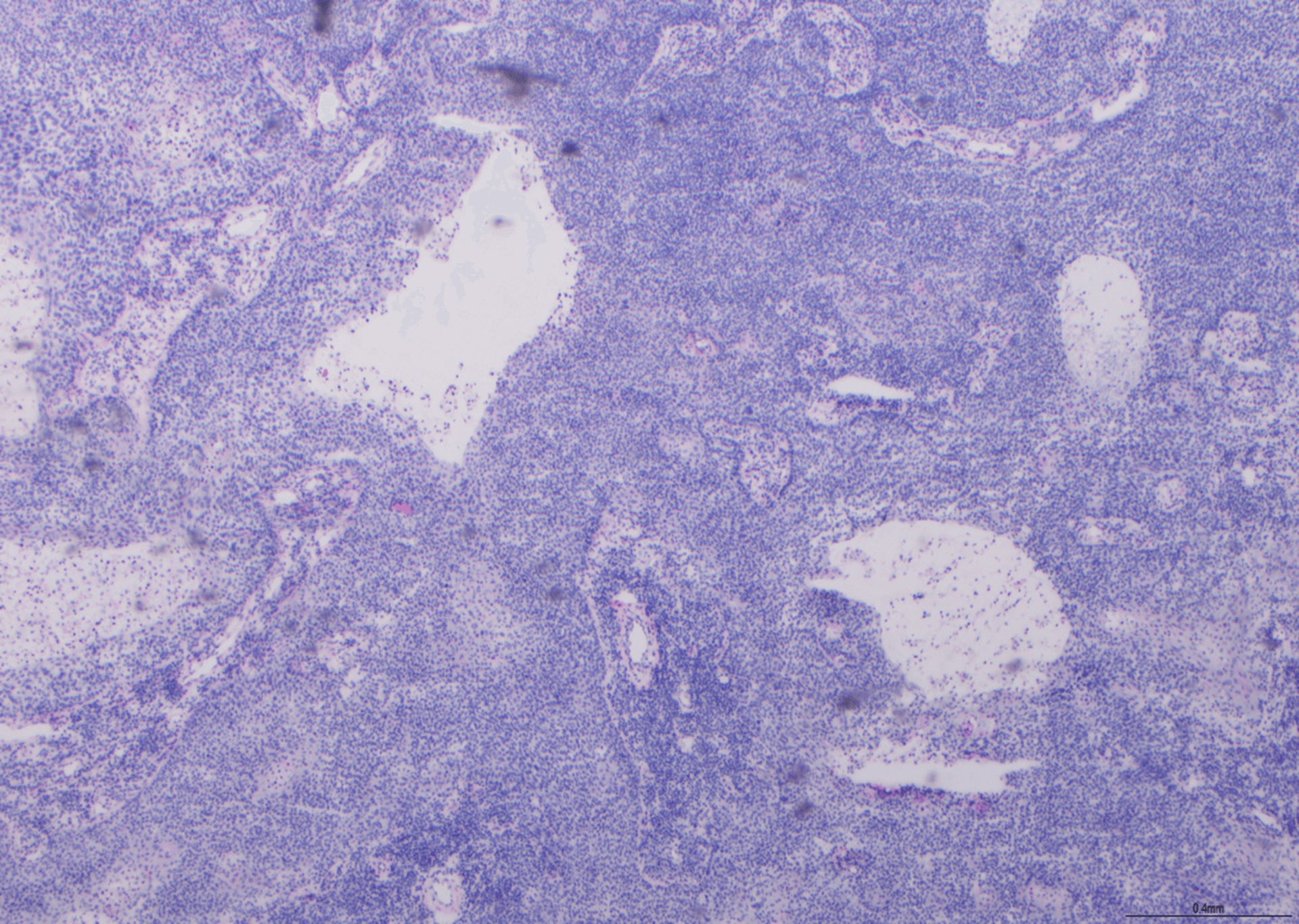
H&E - Program przeszczepu szpiku kostnego
To doskonały preparat z biopsji przeszczepu szpiku kostnego, ze zrównoważonym barwieniem H&E, dobrą szczegółowością chromatyny i selektywnym barwieniem poszczególnych typów komórek w szpiku kostnym. Preparat uzyskał ocenę 9/10.
Przycisk
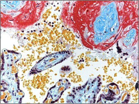
Martius Scarlet Blue
To przykład preparatu barwionego błękitem szkarłatnym Martiusa w celu zademonstrowania fibryny. Cała fibryna powinna być jaskrawo zabarwiona i odróżniać się od innych struktur. Barwniki dla czerwonych krwinek (żółty), mięśni (czerwony) i kolagenu (niebieski) powinny być dobrze rozdzielone kolorystycznie. Barwienie jąder powinno być ciemnoniebieskie lub czarne. To doskonały przykład, który uzyskał ocenę 10/10.
Przycisk
PAS - Schemat nerkowy
W powiększeniu 20x jest to przykład barwienia PAS. Punkty odjęto za „barwienie tła pierwotnego”. Chociaż błony podstawne kłębuszków nerkowych są dobrze wybarwione, kontrast mógłby być lepszy, gdyby tło było mniej barwione barwnikiem Schiffa. Dodatkowo, pod szkiełkiem nakrywkowym widoczne były kropelki wody. Całkowita ocena tej sekcji to 7/10.
Przycisk
Trichrome Gomoriego – Świeży Mięsień
To przykład źle wykonanej preparacji, a następnie słabego barwienia. Jak w przypadku wszystkich metod barwienia świeżych mięśni, kluczowe jest dobre przygotowanie. Jeśli Twoje laboratorium ma problemy, możesz skorzystać z protokołów najlepszych metod i dodatkowych ocen kontroli jakości. Ocena: 2/10.
Przycisk
Papanicolaou - Schemat cytologii diagnostycznej
Oto przykład płynu z jamy ciała barwionego metodą Papanicolaou. Grubość preparatu jest nierównomierna. Barwienie jąder jest zbyt intensywne, maskując barwienie cytoplazmy, a szczegóły chromatyny są niewyraźne. Ocena tego preparatu: 6/10.
Przycisk
Włókna Glaila – Schemat neuropatologii
W powiększeniu x20 jest to przykład techniki demonstracji włókien glail. Widoczne tu barwienie jest nieoptymalne w przypadku słabych włókien. Ocena: 7/10.
Przycisk
H E - Program MOHS
Na tym zdjęciu widać zamrożony skrawek Mohsa barwiony H E, widziany z powiększeniem x4, demonstrujący piękną technikę naleśnikową. Slajd uzyskał najwyższą ocenę 10/10.
Przycisk
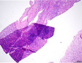
Mega Block H E- Schemat towarzyszący Mega Block
Ten slajd przedstawia znaczące bąbelkowanie i stopienie rdzenia reaktora jądrowego. Artefakty te sugerują niepełną fiksację oraz niedostateczne lub nieprawidłowe przetwarzanie. Slajd otrzymał ocenę 5/10.
Przycisk
Płynny schemat Romanowsky'ego - cytologia diagnostyczna.
Ten preparat prezentuje doskonałe barwienie zarówno jądra komórkowego, jak i cytoplazmy. Otrzymał ocenę 9/10.
Przycisk
Barwienie retikuliny – schemat BMT
To doskonały przykład barwienia retukuliną. Srebro ma nasycone grube i cienkie sieci włókien o wysokiej specyficzności. Ocena 9/10.
Przycisk
Toludine Blue – skala Mohsa
Ten fragment skóry owłosionej wykazuje odpowiednie zabarwienie, ale zauważono obecność dwóch wyraźnych fałdów. Preparat oceniono na 7/10.
Przycisk
Masson Fontanta – Program Technik Specjalistycznych
Chociaż ten kontrast może wydawać się nieco zbyt intensywny na tym zdjęciu mikroskopowym, porównując tę sekcję z innymi w serii, uznano, że ocena doskonała jest uzasadniona, ponieważ spełnia ona wszystkie kryteria oceny w ramach technik specjalistycznych. Ten preparat uzyskał ocenę 10/10.
Przycisk
H E - Schemat Mega Block
Występują znaczne uszkodzenia morfologiczne z utratą architektury gruczołowej, spowodowane nieprawidłową fiksacją i obróbką. Megabloki zazwyczaj wymagają wydłużonego lub wydłużonego czasu fiksacji i obróbki. Ocena tego slajdu to zaledwie 2/10.
Przycisk
H E - schemat Mohsa
Ten preparat barwiony metodą H E wykazuje fałdy i zagniecenia oraz artefakty zamrażania. Widoczne są otwory i artefakty przycinania, a cały naskórek nie jest widoczny. Intensywność hematoksyliny jest zbyt niska. Ocena: 4/10.
Przycisk
H E - Program BMT
Widoczne w powiększeniu 20x. Ogólnie bardzo dobre przygotowanie, ale punkty zostały odjęte za fałdy i zagięcia, utratę materiału oraz barwienie tła hematoksyliną. Ocena: 8/10.
Przycisk
Methenamina Silver – Schemat nerkowy
Obraz widoczny w 10-krotnym powiększeniu. Brak kłębuszków nerkowych uniemożliwia ocenę barwienia błony podstawnej kłębuszków. Stopień nasycenia srebrem, widoczny w kanalikach, również uznano za zbyt silny. Punkty zostały odjęte, ponieważ sekcja ta została uznana za „niewystarczającą do oceny”. Ocena tego preparatu wynosi 2/10.
Przycisk
Włókna glejowe – schemat neuropatologii
Oglądany z rozdzielczością x4, ten slajd prezentuje bardzo słabą demonstrację. Ocena: 4/10.
Przycisk
Włókna glejowe – schemat neuropatologii
Oglądany z perspektywy x4, ten slajd prezentuje doskonałą demonstrację. Ocena: 10/10.
Przycisk
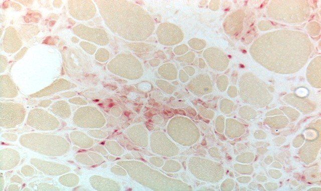
Fosfataza kwaśna - schemat mięśniowy
W powiększeniu 10x, ten preparat jest przykładem słabo wybarwionego preparatu. Punkty odjęto za pęcherzyki powietrza, unoszenie się preparatu i nieselektywność barwienia, a także za osadzanie się pierwotnej plamy. Preparat uzyskał ocenę 2/10.
Przycisk
Hematoksylina i eozyna – schemat nerkowy
Widoczny na zdjęciu x4, jest to przykład preparatu barwionego hematoksyliną i eozyną. Oprócz fałd, zagięć i uniesień, odjęto również punkty za barwienie tła hematoksyliną i słabą intensywność eozyny. Preparat otrzymał ocenę 7/10.
Przycisk
Schemat Mohsa
Oto slajd z skali Mohsa, widziany w powiększeniu x4. Punkty zostały odjęte za: fałdy i zagięcia, ślady po nożu, otwory, artefakty po przycinaniu, łuski i męty, nierównomierne przebarwienia i obecność wody. Ten slajd uzyskał ocenę 5/10 w ocenie.
Przycisk
Hematoksylina i eozyna – program towarzyszący Frozen
W powiększeniu x20 jest to przykład H E. Występuje bardzo mało barwienia eozyną, co utrudnia ocenę architektoniczną. Na tej podstawie ocena tej sekcji wynosi 5/10.
Przycisk
Fosfataza kwaśna - schemat mięśniowy
Obecność fosforanu kwaśnego można wykazać poprzez hydrolizę. Warunki barwienia muszą być starannie kontrolowane, aby zapewnić specyficzną obecność fosforanu kwaśnego, przy czym optymalne pH to kwaśne. To doskonały przykład preparatu pozbawionego osadu i specyficznego barwienia aktywności fosforanu kwaśnego na czystym tle. Slajd uzyskał ocenę 9/10.
Przycisk
Próbka głowy i szyi PAP - Program nieginekologiczny
Ten slajd przedstawia pojedynczą warstwę komórek, bez nakładania się ani zlepiania, a także doskonałą prezentację szczegółów chromatyny. Slajd uzyskał ocenę 10/10.
Przycisk
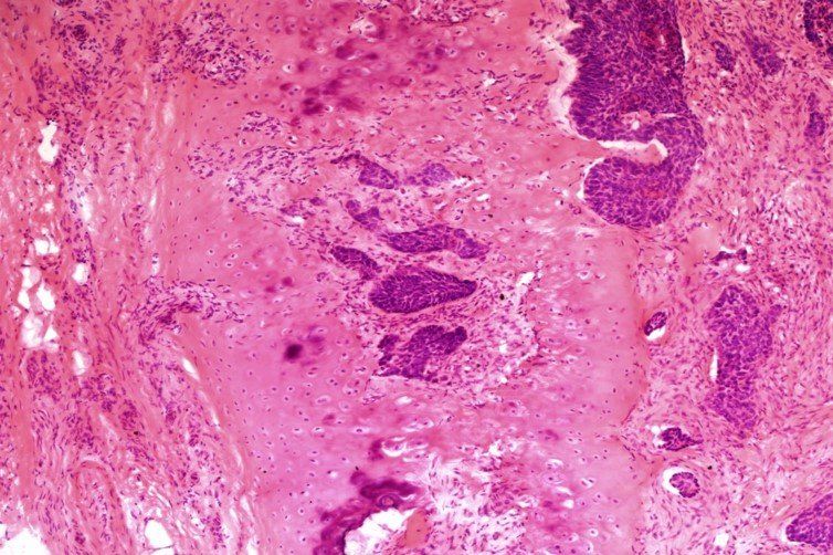
H E - schemat Mohsa
Oto slajd H E przedstawiający naciek raka podstawnokomórkowego na chrząstkę z tkanki pobranej z grzbietu nosa. Punkty odjęto za: zbyt intensywne wiązanie eozyny, ślady po nożu, fałdy i bruzdy. Ten slajd uzyskał ocenę 7/10.
Przycisk



























