CPTCast ਸਲਾਈਡ ਚਿੱਤਰ ਸੂਚਕਾਂਕ - ਵੱਡਾ ਕਰਨ ਲਈ ਹੇਠਾਂ ਦਿੱਤੀਆਂ ਤਸਵੀਰਾਂ 'ਤੇ ਕਲਿੱਕ ਕਰੋ।
ਬੀਐਮਟੀ ਸਕੀਮ
ਇੱਥੇ BMT ਸਕੀਮ ਤੋਂ ਇੱਕ ਸਲਾਈਡ ਹੈ। ਬੈਕਗ੍ਰਾਊਂਡ ਸਟੈਨਿੰਗ ਅਤੇ ਗੈਰ-ਵਿਸ਼ੇਸ਼ ਚਾਂਦੀ ਜਮ੍ਹਾਂ ਲਈ ਅੰਕ ਕੱਟੇ ਗਏ ਸਨ ਜੋ ਕਿ ਰੇਸ਼ਿਆਂ ਦੇ ਪ੍ਰਦਰਸ਼ਨ ਨੂੰ ਛੁਪਾ ਰਹੇ ਹਨ। ਇਸ ਸਲਾਈਡ ਨੇ 5/10 ਸਕੋਰ ਕੀਤਾ।
ਬਟਨ
NADH - ਮਾਸਪੇਸ਼ੀ ਯੋਜਨਾ
ਇੱਥੇ ਸਾਡੀ ਮਾਸਪੇਸ਼ੀ ਸਕੀਮ ਤੋਂ ਇੱਕ ਸਲਾਈਡ ਦੀ ਇੱਕ ਉਦਾਹਰਣ ਹੈ ਜੋ NADH ਵਿਧੀ ਨੂੰ ਦਰਸਾਉਂਦੀ ਹੈ। ਇਹ ਚਿੱਤਰ ਸ਼ਾਨਦਾਰ ਫਾਈਬਰ ਕਿਸਮ ਦਾ ਪ੍ਰਦਰਸ਼ਨ ਦਰਸਾਉਂਦਾ ਹੈ ਅਤੇ ਮੁਲਾਂਕਣ 'ਤੇ 10/10 ਸਕੋਰ ਕੀਤਾ ਹੈ!
ਬਟਨ
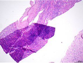
ਐੱਚ ਐਂਡ ਈ - ਬੀਐਮਟੀ ਸਕੀਮ
ਇਹ BMT ਬਾਇਓਪਸੀ ਦੀ ਇੱਕ ਸ਼ਾਨਦਾਰ ਤਿਆਰੀ ਹੈ, ਜਿਸ ਵਿੱਚ ਸੰਤੁਲਿਤ H&E ਸਟੇਨਿੰਗ, ਵਧੀਆ ਕ੍ਰੋਮੈਟਿਨ ਵੇਰਵੇ, ਅਤੇ ਬੋਨ ਮੈਰੋ ਟਿਸ਼ੂ ਦੇ ਅੰਦਰ ਸੈੱਲ ਕਿਸਮਾਂ ਦੇ ਚੋਣਵੇਂ ਸਟੇਨਿੰਗ ਹਨ। ਇਸ ਸਲਾਈਡ ਨੂੰ ਮੁਲਾਂਕਣ 'ਤੇ 9/10 ਸਕੋਰ ਕੀਤਾ ਗਿਆ ਸੀ।
ਬਟਨ
ਮਾਰਟੀਅਸ ਸਕਾਰਲੇਟ ਬਲੂ
ਇਹ ਫਾਈਬ੍ਰੀਨ ਨੂੰ ਦਰਸਾਉਣ ਲਈ ਮਾਰਟੀਅਸ ਸਕਾਰਲੇਟ ਬਲੂ ਦੁਆਰਾ ਰੰਗੀ ਗਈ ਇੱਕ ਸਲਾਈਡ ਦੀ ਇੱਕ ਉਦਾਹਰਣ ਹੈ। ਸਾਰੇ ਫਾਈਬ੍ਰੀਨ ਚਮਕਦਾਰ ਰੰਗ ਦੇ ਹੋਣੇ ਚਾਹੀਦੇ ਹਨ ਅਤੇ ਹੋਰ ਬਣਤਰਾਂ ਤੋਂ ਵੱਖਰੇ ਹੋਣੇ ਚਾਹੀਦੇ ਹਨ। ਲਾਲ ਖੂਨ ਦੇ ਸੈੱਲਾਂ (ਪੀਲੇ), ਮਾਸਪੇਸ਼ੀ (ਲਾਲ) ਅਤੇ ਕੋਲੇਜਨ (ਨੀਲੇ) ਲਈ ਰੰਗਾਂ ਵਿਚਕਾਰ ਚੰਗਾ ਰੰਗ ਵੱਖਰਾ ਹੋਣਾ ਚਾਹੀਦਾ ਹੈ। ਨਿਊਕਲੀਅਰ ਸਟੈਨਿੰਗ ਗੂੜ੍ਹਾ ਨੀਲਾ ਜਾਂ ਕਾਲਾ ਹੋਣਾ ਚਾਹੀਦਾ ਹੈ। ਇਹ ਇੱਕ ਸ਼ਾਨਦਾਰ ਉਦਾਹਰਣ ਹੈ ਜਿਸਨੇ 10/10 ਸਕੋਰ ਕੀਤਾ।
ਬਟਨ
ਪੀਏਐਸ - ਗੁਰਦੇ ਸਕੀਮ
x20 'ਤੇ ਦੇਖਿਆ ਗਿਆ, ਇਹ PAS ਸਟੈਨ ਦੀ ਇੱਕ ਉਦਾਹਰਣ ਹੈ। 'ਪ੍ਰਾਇਮਰੀ ਬੈਕਗ੍ਰਾਊਂਡ ਸਟੈਨਿੰਗ' ਲਈ ਅੰਕ ਕੱਟੇ ਗਏ ਸਨ। ਹਾਲਾਂਕਿ ਗਲੋਮੇਰੂਲਰ ਬੇਸਮੈਂਟ ਝਿੱਲੀ ਚੰਗੀ ਤਰ੍ਹਾਂ ਸਟੈਨਡ ਹਨ, ਜੇਕਰ ਘੱਟ ਬੈਕਗ੍ਰਾਊਂਡ ਸ਼ਿਫ ਸਟੈਨਿੰਗ ਹੋਵੇ ਤਾਂ ਕੰਟ੍ਰਾਸਟ ਬਿਹਤਰ ਹੋ ਸਕਦਾ ਹੈ। ਇਸ ਤੋਂ ਇਲਾਵਾ, ਕਵਰਸਲਿੱਪ ਦੇ ਹੇਠਾਂ ਪਾਣੀ ਦੀਆਂ ਬੂੰਦਾਂ ਦੇਖੇ ਗਏ। ਇਸ ਭਾਗ ਲਈ ਕੁੱਲ ਸਕੋਰ 7/10 ਸਕੋਰ ਕੀਤਾ ਗਿਆ।
ਬਟਨ
ਗੋਮੋਰੀ ਦਾ ਟ੍ਰਾਈਕ੍ਰੋਮ - ਤਾਜ਼ਾ ਮਾਸਪੇਸ਼ੀ
ਇਹ ਇੱਕ ਮਾੜੀ ਤਿਆਰੀ ਦੀ ਉਦਾਹਰਣ ਹੈ ਜਿਸ ਤੋਂ ਬਾਅਦ ਮਾੜੀ ਰੰਗਾਈ ਹੁੰਦੀ ਹੈ। ਜਿਵੇਂ ਕਿ ਸਾਰੇ ਤਾਜ਼ੇ ਮਾਸਪੇਸ਼ੀ ਰੰਗਾਈ ਦੇ ਤਰੀਕਿਆਂ ਨਾਲ ਹੁੰਦਾ ਹੈ, ਚੰਗੀ ਤਿਆਰੀ ਕੁੰਜੀ ਹੈ। ਜੇਕਰ ਤੁਹਾਡੀ ਪ੍ਰਯੋਗਸ਼ਾਲਾ ਵਿੱਚ ਮੁਸ਼ਕਲਾਂ ਆ ਰਹੀਆਂ ਹਨ ਤਾਂ ਤੁਸੀਂ ਬੈਸਟ ਮੈਥਡਸ ਪ੍ਰੋਟੋਕੋਲ ਅਤੇ ਵਾਧੂ ਗੁਣਵੱਤਾ ਨਿਯੰਤਰਣ ਮੁਲਾਂਕਣਾਂ ਤੱਕ ਪਹੁੰਚ ਕਰ ਸਕਦੇ ਹੋ। ਇਸਨੇ 2/10 ਸਕੋਰ ਕੀਤਾ।
ਬਟਨ
ਪਾਪਾਨਿਕੋਲੌ - ਡਾਇਗਨੌਸਟਿਕ ਸਾਇਟੋਲੋਜੀ ਸਕੀਮ
ਇਹ ਪਾਪਾਨਿਕੋਲੌ ਦੁਆਰਾ ਰੰਗੇ ਹੋਏ ਬਾਡੀ ਕੈਵਿਟੀ ਤਰਲ ਦੀ ਇੱਕ ਉਦਾਹਰਣ ਹੈ। ਤਿਆਰੀ ਦੀ ਮੋਟਾਈ ਅਸਮਾਨ ਹੈ। ਨਿਊਕਲੀਅਰ ਸਟੈਨ ਬਹੁਤ ਤੀਬਰ ਹੈ, ਸਾਇਟੋਪਲਾਜ਼ਮਿਕ ਸਟੈਨ ਨੂੰ ਛੁਪਾਉਂਦਾ ਹੈ ਅਤੇ ਅਸਪਸ਼ਟ ਕ੍ਰੋਮੈਟਿਨ ਵੇਰਵਾ ਹੈ। ਇਹ ਸਲਾਈਡ ਸਕੋਰ 6/10 ਹੈ।
ਬਟਨ
ਗੇਲ ਫਾਈਬਰਸ - ਨਿਊਰੋਪੈਥੋਲੋਜੀ ਸਕੀਮ
x20 'ਤੇ ਦੇਖਿਆ ਗਿਆ, ਇਹ ਗਲੇਲ ਫਾਈਬਰਾਂ ਦੇ ਪ੍ਰਦਰਸ਼ਨ ਲਈ ਇੱਕ ਤਕਨੀਕ ਦੀ ਇੱਕ ਉਦਾਹਰਣ ਹੈ। ਇੱਥੇ ਦੇਖਿਆ ਗਿਆ ਸਟੈਨਿੰਗ ਕਮਜ਼ੋਰ ਫਾਈਬਰਾਂ ਦੇ ਨਾਲ ਸਬਓਪਟੀਮਲ ਹੈ। ਇਸਨੇ 7/10 ਸਕੋਰ ਕੀਤਾ।
ਬਟਨ
ਐੱਚ ਈ - ਐਮਓਐੱਚਐੱਸ ਸਕੀਮ
ਇਹ ਤਸਵੀਰ ਇੱਕ H E ਰੰਗੇ ਹੋਏ ਮੋਹਸ ਜੰਮੇ ਹੋਏ ਭਾਗ ਨੂੰ ਦਰਸਾਉਂਦੀ ਹੈ, ਜੋ x4 'ਤੇ ਦਿਖਾਈ ਦਿੰਦੀ ਹੈ, ਇੱਕ ਸੁੰਦਰ ਪੈਨਕੇਕ ਤਕਨੀਕ ਦਾ ਪ੍ਰਦਰਸ਼ਨ ਕਰਦੀ ਹੈ। ਇਸ ਸਲਾਈਡ ਨੇ 10/10 ਦੇ ਸਿਖਰਲੇ ਅੰਕ ਪ੍ਰਾਪਤ ਕੀਤੇ।
ਬਟਨ
ਮੈਗਾ ਬਲਾਕ H E- ਮੈਗਾ ਬਲਾਕ ਸਾਥੀ ਸਕੀਮ
ਇਹ ਸਲਾਈਡ ਮਹੱਤਵਪੂਰਨ ਨਿਊਕਲੀਅਰ ਬੁਲਬੁਲਾ ਅਤੇ ਨਿਊਕਲੀਅਰ ਪਿਘਲਣ ਨੂੰ ਦਰਸਾਉਂਦੀ ਹੈ। ਇਹ ਕਲਾਕ੍ਰਿਤੀਆਂ ਅਧੂਰੀਆਂ ਫਿਕਸੇਸ਼ਨ ਅਤੇ ਘੱਟ ਜਾਂ ਗਲਤ ਪ੍ਰੋਸੈਸਿੰਗ ਦਾ ਸੁਝਾਅ ਦਿੰਦੀਆਂ ਹਨ। ਇਸ ਸਲਾਈਡ ਨੇ 5/10 ਸਕੋਰ ਕੀਤਾ।
ਬਟਨ
ਫਲੂਇਡ ਰੋਮਾਨੋਵਸਕੀ - ਡਾਇਗਨੌਸਟਿਕ ਸਾਇਟੋਲੋਜੀ ਸਕੀਮ।
ਇਹ ਸਲਾਈਡ ਨਿਊਕਲੀਅਸ ਅਤੇ ਸਾਇਟੋਪਲਾਜ਼ਮ ਦੋਵਾਂ ਦੇ ਸ਼ਾਨਦਾਰ ਰੰਗ ਨੂੰ ਦਰਸਾਉਂਦੀ ਹੈ। ਇਸਨੇ ਮੁਲਾਂਕਣ 'ਤੇ 9/10 ਸਕੋਰ ਕੀਤਾ।
ਬਟਨ
ਰੈਟੀਕੁਲਿਨ ਸਟੈਨਿੰਗ - BMT ਸਕੀਮ
ਇਹ ਰੈਟੂਕੁਲਿਨ ਸਟੈਨਿੰਗ ਦੀ ਇੱਕ ਸ਼ਾਨਦਾਰ ਉਦਾਹਰਣ ਹੈ। ਚਾਂਦੀ ਵਿੱਚ ਉੱਚ ਵਿਸ਼ੇਸ਼ਤਾ ਦੇ ਨਾਲ ਇੰਪ੍ਰੇਗਨੇਟਿਡ ਕੋਰਸ ਅਤੇ ਵਧੀਆ ਫਾਈਬਰ ਨੈਟਵਰਕ ਹਨ। ਇਸਨੇ 9/10 ਸਕੋਰ ਕੀਤਾ।
ਬਟਨ
ਟੋਲੂਡੀਨ ਬਲੂ - ਮੋਹਸ ਸਕੀਮ
ਵਾਲਾਂ ਵਾਲੀ ਚਮੜੀ ਦੇ ਇਸ ਹਿੱਸੇ ਵਿੱਚ ਢੁਕਵੇਂ ਰੰਗ ਦਾ ਪ੍ਰਦਰਸ਼ਨ ਹੁੰਦਾ ਹੈ ਪਰ ਇਸ ਹਿੱਸੇ ਵਿੱਚ ਦੋ ਸਪੱਸ਼ਟ ਤਹਿਆਂ ਦੀ ਮੌਜੂਦਗੀ ਨੋਟ ਕੀਤੀ ਗਈ। ਇਸ ਸਲਾਈਡ ਨੇ 7/10 ਸਕੋਰ ਕੀਤਾ।
ਬਟਨ
ਮੈਸਨ ਫੋਂਟੈਂਟਾ - ਸਪੈਸ਼ਲਿਸਟ ਤਕਨੀਕ ਸਕੀਮ
ਹਾਲਾਂਕਿ ਇਹ ਕਾਊਂਟਰਸਟੇਨ ਇਸ ਫੋਟੋਮਾਈਕ੍ਰੋਗ੍ਰਾਫ ਚਿੱਤਰ 'ਤੇ ਥੋੜ੍ਹਾ ਭਾਰੀ ਲੱਗ ਸਕਦਾ ਹੈ, ਪਰ ਜਦੋਂ ਇਸ ਭਾਗ ਦੀ ਤੁਲਨਾ ਦੌੜ ਵਿੱਚ ਦੂਜਿਆਂ ਨਾਲ ਕੀਤੀ ਗਈ ਤਾਂ ਇਹ ਮਹਿਸੂਸ ਹੋਇਆ ਕਿ ਇੱਕ ਸ਼ਾਨਦਾਰ ਸਕੋਰ ਜਾਇਜ਼ ਸੀ ਕਿਉਂਕਿ ਇਹ ਸਪੈਸ਼ਲਿਸਟ ਤਕਨੀਕਾਂ ਵਿੱਚ ਸਾਰੇ ਮੁਲਾਂਕਣ ਮਾਪਦੰਡਾਂ ਨੂੰ ਪੂਰਾ ਕਰਦਾ ਸੀ। ਇਸ ਸਲਾਈਡ ਨੇ 10/10 ਸਕੋਰ ਕੀਤਾ।
ਬਟਨ
H E - ਮੈਗਾ ਬਲਾਕ ਸਕੀਮ
ਗਲੈਂਡੂਲਰ ਆਰਕੀਟੈਕਚਰ ਦੇ ਨੁਕਸਾਨ ਦੇ ਨਾਲ ਮਹੱਤਵਪੂਰਨ ਰੂਪ ਵਿਗਿਆਨਿਕ ਨੁਕਸਾਨ ਹੈ; ਜੋ ਕਿ ਮਾੜੇ ਫਿਕਸੇਸ਼ਨ ਅਤੇ ਪ੍ਰੋਸੈਸਿੰਗ ਕਾਰਨ ਹੁੰਦਾ ਹੈ। ਮੈਗਾਬਲਾਕ ਨੂੰ ਆਮ ਤੌਰ 'ਤੇ ਵਧੇ ਹੋਏ ਜਾਂ ਵਧੇ ਹੋਏ ਫਿਕਸੇਸ਼ਨ ਅਤੇ ਪ੍ਰੋਸੈਸਿੰਗ ਸਮਾਂ-ਸਾਰਣੀਆਂ ਦੀ ਲੋੜ ਹੁੰਦੀ ਹੈ। ਇਹ ਸਲਾਈਡ ਘੱਟ 2/10 ਸਕੋਰ ਕਰਦੀ ਹੈ।
ਬਟਨ
H E - ਮੋਹਸ ਸਕੀਮ
ਇਹ H E ਰੰਗੀਨ ਸਲਾਈਡ ਫੋਲਡ ਅਤੇ ਕਰੀਜ਼, ਅਤੇ ਜੰਮੀ ਹੋਈ ਆਰਟੀਫੈਕਟ ਦਿਖਾਉਂਦੀ ਹੈ। ਛੇਕ ਅਤੇ ਟ੍ਰਿਮਿੰਗ ਆਰਟੀਫੈਕਟ ਹਨ ਅਤੇ ਪੂਰਾ ਐਪੀਡਰਮਿਸ ਦਿਖਾਈ ਨਹੀਂ ਦੇ ਰਿਹਾ ਹੈ। ਹੀਮੈਟੌਕਸੀਲਿਨ ਦੀ ਤੀਬਰਤਾ ਬਹੁਤ ਕਮਜ਼ੋਰ ਹੈ। ਇਸ ਸਲਾਈਡ ਨੇ 4/10 ਸਕੋਰ ਕੀਤਾ।
ਬਟਨ
ਐੱਚ ਈ - ਬੀਐਮਟੀ ਸਕੀਮ
x20 'ਤੇ ਦੇਖਿਆ ਗਿਆ। ਕੁੱਲ ਮਿਲਾ ਕੇ ਬਹੁਤ ਵਧੀਆ ਤਿਆਰੀ, ਪਰ ਫੋਲਡ ਅਤੇ ਕ੍ਰੀਜ਼, ਸਮੱਗਰੀ ਦੇ ਨੁਕਸਾਨ, ਅਤੇ ਹੀਮੈਟੌਕਸੀਲਿਨ ਬੈਕਗ੍ਰਾਊਂਡ ਸਟੈਨਿੰਗ ਲਈ ਅੰਕ ਕੱਟੇ ਗਏ ਸਨ। ਇਸ ਸਲਾਈਡ ਨੇ 8/10 ਸਕੋਰ ਕੀਤਾ।
ਬਟਨ
ਮੀਥੇਨਾਮਾਈਨ ਸਿਲਵਰ - ਗੁਰਦੇ ਦੀ ਸਕੀਮ
10x ਵਿਸਤਾਰ 'ਤੇ ਦੇਖਿਆ ਗਿਆ। ਕੋਈ ਗਲੋਮੇਰੂਲੀ ਮੌਜੂਦ ਨਹੀਂ ਸੀ, ਜਿਸ ਕਾਰਨ ਗਲੋਮੇਰੂਲਰ ਬੇਸਮੈਂਟ ਝਿੱਲੀ ਦੇ ਰੰਗ ਦਾ ਮੁਲਾਂਕਣ ਅਸੰਭਵ ਹੋ ਜਾਂਦਾ ਹੈ। ਚਾਂਦੀ ਦੇ ਗਰਭਪਾਤ ਦੇ ਪੱਧਰ ਨੂੰ ਵੀ ਬਹੁਤ ਜ਼ਿਆਦਾ ਮੰਨਿਆ ਗਿਆ ਸੀ, ਜਿਵੇਂ ਕਿ ਇੱਥੇ ਟਿਊਬਿਊਲਾਂ ਵਿੱਚ ਦੇਖਿਆ ਗਿਆ ਸੀ। ਅੰਕ ਕੱਟੇ ਗਏ ਸਨ ਕਿਉਂਕਿ ਇਸ ਭਾਗ ਨੂੰ 'ਮੁਲਾਂਕਣ ਲਈ ਨਾਕਾਫ਼ੀ' ਮੰਨਿਆ ਗਿਆ ਸੀ। ਇਸ ਸਲਾਈਡ ਨੇ 2/10 ਸਕੋਰ ਕੀਤਾ।
ਬਟਨ
ਗਲਾਈਅਲ ਫਾਈਬਰ - ਨਿਊਰੋਪੈਥੋਲੋਜੀ ਸਕੀਮ
x4 'ਤੇ ਦੇਖਿਆ ਗਿਆ, ਇਹ ਸਲਾਈਡ ਬਹੁਤ ਕਮਜ਼ੋਰ ਪ੍ਰਦਰਸ਼ਨ ਦਿਖਾਉਂਦੀ ਹੈ। ਇਸ ਸਲਾਈਡ ਨੇ 4/10 ਸਕੋਰ ਕੀਤਾ।
ਬਟਨ
ਗਲਾਈਅਲ ਫਾਈਬਰ - ਨਿਊਰੋਪੈਥੋਲੋਜੀ ਸਕੀਮ
x4 'ਤੇ ਦੇਖੀ ਗਈ, ਇਹ ਸਲਾਈਡ ਸ਼ਾਨਦਾਰ ਪ੍ਰਦਰਸ਼ਨ ਦਿਖਾਉਂਦੀ ਹੈ। ਇਸ ਸਲਾਈਡ ਨੇ 10/10 ਸਕੋਰ ਕੀਤਾ।
ਬਟਨ
ਐਸਿਡ ਫਾਸਫੇਟੇਸ - ਮਾਸਪੇਸ਼ੀ ਸਕੀਮ
x10 'ਤੇ ਦੇਖਿਆ ਗਿਆ, ਇਹ ਸਲਾਈਡ ਇੱਕ ਮਾੜੇ ਰੰਗ ਵਾਲੀ ਸਲਾਈਡ ਦੀ ਇੱਕ ਉਦਾਹਰਣ ਹੈ। ਹਵਾ ਦੇ ਬੁਲਬੁਲੇ, ਲਿਫਿਟਿੰਗ ਅਤੇ ਰੰਗ ਦੀ ਗੈਰ-ਚੋਣਯੋਗਤਾ ਦੇ ਨਾਲ-ਨਾਲ ਪ੍ਰਾਇਮਰੀ ਰੰਗ ਜਮ੍ਹਾਂ ਹੋਣ ਲਈ ਅੰਕ ਕੱਟੇ ਗਏ ਸਨ। ਇਸ ਸਲਾਈਡ ਨੇ 2/10 ਸਕੋਰ ਕੀਤਾ।
ਬਟਨ
ਹੀਮੈਟੌਕਸੀਲਿਨ ਅਤੇ ਈਓਸਿਨ - ਗੁਰਦੇ ਦੀ ਸਕੀਮ
x4 'ਤੇ ਦੇਖਿਆ ਗਿਆ, ਇਹ ਹੈਮੈਟੋਕਸੀਲਿਨ ਅਤੇ ਈਓਸਿਨ ਰੰਗੀਨ ਸਲਾਈਡ ਦੀ ਇੱਕ ਉਦਾਹਰਣ ਹੈ। ਫੋਲਡ, ਕ੍ਰੀਜ਼ ਅਤੇ ਲਿਫਟਿੰਗ ਤੋਂ ਇਲਾਵਾ, ਹੈਮੈਟੋਕਸੀਲਿਨ ਪਿਛੋਕੜ ਰੰਗੀਨ ਅਤੇ ਕਮਜ਼ੋਰ ਈਓਸਿਨ ਤੀਬਰਤਾ ਲਈ ਅੰਕ ਵੀ ਕੱਟੇ ਗਏ ਸਨ। ਇਸ ਸਲਾਈਡ ਨੂੰ 7/10 ਸਕੋਰ ਕੀਤਾ ਗਿਆ ਸੀ।
ਬਟਨ
ਮੋਹਸ ਸਕੀਮ
x4 ਵਿਸਤਾਰ 'ਤੇ ਦੇਖਿਆ ਗਿਆ, ਇੱਥੇ ਮੋਹਸ ਸਕੀਮ ਤੋਂ ਇੱਕ ਸਲਾਈਡ ਹੈ। ਇਹਨਾਂ ਲਈ ਅੰਕ ਕੱਟੇ ਗਏ ਸਨ: ਫੋਲਡ ਅਤੇ ਕ੍ਰੀਜ਼, ਚਾਕੂ ਦਾ ਮਲਬਾ, ਛੇਕ, ਟ੍ਰਿਮਿੰਗ ਆਰਟੀਫੈਕਟ, ਸਕੁਆਮ ਅਤੇ ਫਲੋਟਰ, ਐਨੀਵਨ ਸਟੈਨਿੰਗ ਅਤੇ ਪਾਣੀ ਦੀ ਮੌਜੂਦਗੀ। ਇਸ ਸਲਾਈਡ ਨੇ ਮੁਲਾਂਕਣ 'ਤੇ 5/10 ਸਕੋਰ ਕੀਤਾ।
ਬਟਨ
ਹੀਮੈਟੌਕਸੀਲਿਨ ਅਤੇ ਈਓਸਿਨ - ਫ੍ਰੋਜ਼ਨ ਕੰਪੈਨੀਅਨ ਸਕੀਮ
x20 'ਤੇ ਦੇਖਿਆ ਗਿਆ, ਇਹ H E ਦੀ ਇੱਕ ਉਦਾਹਰਣ ਹੈ। ਇੱਥੇ ਬਹੁਤ ਘੱਟ ਈਓਸਿਨ ਸਟੇਨਿੰਗ ਹੈ ਜੋ ਆਰਕੀਟੈਕਚਰਲ ਮੁਲਾਂਕਣ ਨੂੰ ਚੁਣੌਤੀਪੂਰਨ ਬਣਾਉਂਦੀ ਹੈ। ਇਸ ਆਧਾਰ 'ਤੇ ਇਸ ਭਾਗ ਨੂੰ 5/10 ਸਕੋਰ ਮਿਲਦਾ ਹੈ।
ਬਟਨ
ਐਸਿਡ ਫਾਸਫੇਟੇਸ - ਮਾਸਪੇਸ਼ੀ ਸਕੀਮ
ਐਸਿਡ ਫਾਸਫੇਟ ਨੂੰ ਹਾਈਡ੍ਰੋਲਾਈਸਿਸ ਦੁਆਰਾ ਪ੍ਰਦਰਸ਼ਿਤ ਕੀਤਾ ਜਾ ਸਕਦਾ ਹੈ। ਖਾਸ ਐਸਿਡ ਫਾਸਫੇਟ ਪ੍ਰਦਰਸ਼ਨ ਨੂੰ ਯਕੀਨੀ ਬਣਾਉਣ ਲਈ ਸਟੈਨਿੰਗ ਸਥਿਤੀਆਂ ਨੂੰ ਧਿਆਨ ਨਾਲ ਨਿਯੰਤਰਿਤ ਕੀਤਾ ਜਾਣਾ ਚਾਹੀਦਾ ਹੈ, ਜਿਸ ਵਿੱਚ ਇੱਕ ਐਸਿਡਿਕ pH ਅਨੁਕੂਲ ਪਾਇਆ ਜਾਂਦਾ ਹੈ। ਇਹ ਇੱਕ ਸ਼ਾਨਦਾਰ ਉਦਾਹਰਣ ਹੈ ਜਿੱਥੇ ਤਿਆਰੀ ਜਮ੍ਹਾਂ ਹੋਣ ਤੋਂ ਮੁਕਤ ਹੈ, ਅਤੇ ਇੱਕ ਸਾਫ਼ ਪਿਛੋਕੜ ਦੇ ਵਿਰੁੱਧ ਐਸਿਡ ਫਾਸਫੇਰ ਗਤੀਵਿਧੀ ਦਾ ਖਾਸ ਸਟੈਨਿੰਗ ਹੈ। ਇਸ ਸਲਾਈਡ ਨੇ 9/10 ਸਕੋਰ ਕੀਤਾ।
ਬਟਨ
ਸਿਰ ਅਤੇ ਗਰਦਨ ਦਾ ਨਮੂਨਾ PAP - ਗੈਰ-ਗਾਇਨੀ ਸਕੀਮ
ਇਹ ਸਲਾਈਡ ਸੈੱਲਾਂ ਦੀ ਇੱਕ ਮੋਨੋ ਪਰਤ ਦਿਖਾਉਂਦੀ ਹੈ, ਕੋਈ ਓਵਰਲੈਪਿੰਗ ਜਾਂ ਕਲੰਪਿੰਗ ਨਹੀਂ ਅਤੇ ਕ੍ਰੋਮੈਟਿਨ ਵੇਰਵੇ ਦਾ ਸ਼ਾਨਦਾਰ ਪ੍ਰਦਰਸ਼ਨ। ਇਸ ਸਲਾਈਡ ਨੇ ਮੁਲਾਂਕਣ 'ਤੇ 10/10 ਸਕੋਰ ਕੀਤਾ।
ਬਟਨ
H E - ਮੋਹਸ ਸਕੀਮ
ਇੱਥੇ ਇੱਕ H E ਸਲਾਈਡ ਹੈ ਜੋ ਨੱਕ ਦੇ ਪੁਲ ਤੋਂ ਲਏ ਗਏ ਟਿਸ਼ੂ ਤੋਂ ਕਾਰਟੀਲੇਜ ਵਿੱਚ ਬੇਸਲ ਸੈੱਲ ਕਾਰਸਿਨਮੋਆ ਦੇ ਹਮਲੇ ਨੂੰ ਦਰਸਾਉਂਦੀ ਹੈ। ਇਹਨਾਂ ਲਈ ਅੰਕ ਕੱਟੇ ਗਏ ਸਨ: ਈਓਸਿਨ ਤੀਬਰਤਾ ਵੀ ਧਾਗੇ, ਚਾਕੂ ਦੇ ਨਿਸ਼ਾਨ, ਫੋਲਡ ਅਤੇ ਕ੍ਰੀਜ਼। ਇਸ ਸਲਾਈਡ ਨੇ ਮੁਲਾਂਕਣ 'ਤੇ 7/10 ਸਕੋਰ ਕੀਤਾ।
ਬਟਨ



























