;Index ng Larawan ng Slide ng CPTCast - Mag-click sa mga larawan sa ibaba upang palakihin
BMT Scheme
Narito ang isang slide mula sa BMT scheme. Ibinawas ang mga marka para sa paglamlam sa background at hindi tiyak na deposito ng pilak na nagtatakip sa pagpapakita ng mga hibla. Ang slide na ito ay nakakuha ng 5/10.
Pindutan
NADH - Muscle Scheme
Narito ang isang halimbawa ng slide mula sa aming Muscle Scheme na nagpapakita ng NADH method. Ang larawang ito ay nagpapakita ng mahusay na pagpapakita ng uri ng hibla at nakakuha ng 10/10 sa pagtatasa!
Pindutan
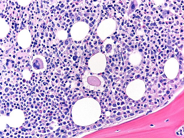
H&E - BMT Scheme
Ito ay isang mahusay na paghahanda ng isang BMT biopsy, na may balanseng H&E staining, magandang detalye ng chromatin, at selective staining ng mga uri ng cell sa loob ng bone marrow tissue. Ang slide na ito ay nakakuha ng 9/10 sa pagtatasa.
Pindutan
Martius Scarlet Blue
Ito ay isang halimbawa ng isang slide na nabahiran ng Martius Scarlet Blue upang ipakita ang Fibrin. Ang lahat ng fibrin ay dapat na may maliwanag na kulay at nakikilala mula sa iba pang mga istraktura. Dapat mayroong magandang pagkakahiwalay ng kulay sa pagitan ng mga tina para sa mga pulang selula ng dugo (dilaw), kalamnan (pula) at collagen (asul). Ang nuclear staining ay dapat madilim na asul o itim Ito ay isang mahusay na halimbawa na nakakuha ng 10/10.
Pindutan
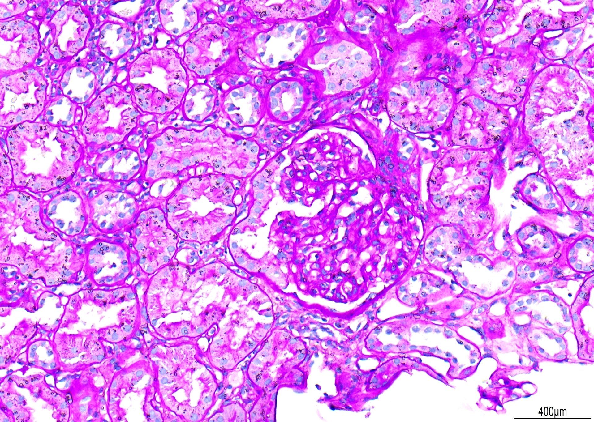
PAS - Renal Scheme
Nakita sa x20, ito ay isang halimbawa ng PAS stain. Ibinawas ang mga marka para sa 'primary background staining.' Bagama't ang mga glomerular basement membrane ay mahusay na nabahiran, ang kaibahan ay maaaring maging mas mahusay kung mayroong mas kaunting background Schiff staining. Bilang karagdagan, ang mga patak ng tubig ay nakita sa ilalim ng coverslip. Ang kabuuang marka para sa seksyong ito ay nakakuha ng 7/10.
Pindutan
Gomori's Trichrome – Sariwang Muscle
Ito ay halimbawa ng isang hindi magandang naisagawa na paghahanda na sinusundan ng hindi magandang paglamlam. Tulad ng lahat ng mga sariwang paraan ng paglamlam ng kalamnan, ang mahusay na paghahanda ay susi. Kung ang iyong lab ay nahihirapan, maaari mong ma-access ang Mga Pinakamahusay na Paraan ng Mga Protocol at karagdagang mga pagtatasa ng kontrol sa kalidad. Nakakuha ito ng 2/10.
Pindutan
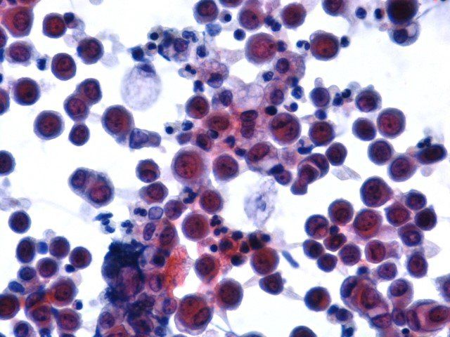
Papanicolaou - Diagnostic Cytology Scheme
Ito ay isang halimbawa ng isang Body Cavity fluid na nabahiran ng Papanicolaou. Ang kapal ng paghahanda ay hindi pantay. Ang Nuclear stain ay masyadong matindi, masking cytoplasmic stain at mayroong hindi malinaw na detalye ng chromatin. Ang slide score na ito ay 6/10.
Pindutan
Glail Fibers - Scheme ng Neuropathology
Nakikita sa x20, ito ay isang halimbawa ng isang pamamaraan para sa ika-demonstrasyon ng mga hibla ng glail. Ang paglamlam na nakikita dito ay suboptimal na may mahinang hibla. Nakakuha ito ng 7/10.
Pindutan
H E - MOHS Scheme
Ang larawang ito ay nagpapakita ng H E stained Mohs frozen section, na makikita sa x4, na nagpapakita ng magandang pancake technique. Ang slide na ito ay nakakuha ng pinakamataas na marka ng 10/10.
Pindutan
Mega Block H E- Mega Block kasamang scheme
Ang slide na ito ay nagpapakita ng makabuluhang nuclear bubbling at nuclear meltdown. Ang mga artefact na ito ay nagmumungkahi ng hindi kumpletong pag-aayos at sa ilalim o hindi tamang pagproseso. Ang slide na ito ay nakakuha ng 5/10.
Pindutan
Fluid Romanowsky - Diagnostic Cytology Scheme.
Ang slide na ito ay nagpapakita ng mahusay na paglamlam ng parehong nucleus at cytoplasm. Nakakuha ito ng 9/10 sa pagtatasa.
Pindutan
Pagbalam ng Reticulin - BMT Scheme
Ito ay isang mahusay na halimbawa ng paglamlam ng retuculin. Ang pilak ay may impregnated course at fine fiber network na may mataas na specificity. Nakakuha ito ng 9/10.
Pindutan
Toludine Blue - Mohs Scheme
Ang seksyong ito ng balat na may buhok ay nagpapakita ng sapat na paglamlam ngunit ang pagkakaroon ng dalawang malinaw na fold sa seksyon ay napansin. Ang slide na ito ay nakakuha ng 7/10.
Pindutan
Masson Fontanta - Iskema ng Espesyalistang Teknik
Bagama't ang counterstain na ito ay maaaring magmukhang medyo mabigat sa larawang photomicrograph na ito, kapag inihambing ang seksyong ito sa iba sa pagtakbo, nadama na ang isang mahusay na marka ay nabigyang-katwiran dahil natugunan nito ang lahat ng pamantayan sa pagtatasa sa Mga Espesyalistang Teknik. Ang slide na ito ay nakakuha ng 10/10.
Pindutan
H E - Mega Block Scheme
Mayroong makabuluhang pinsala sa morphological na may pagkawala ng arkitektura ng glandular; sanhi ng hindi magandang pag-aayos at pagproseso. Ang mga megablock sa pangkalahatan ay nangangailangan ng pinalawig o pinahusay na mga iskedyul ng pag-aayos at pagproseso. Mababang 2/10 ang marka ng slide na ito.
Pindutan
H E - Mohs Scheme
Ang H E stained slide na ito ay nagpapakita ng mga fold at creases, at nagyeyelong artefact. May mga butas at trimming artefact at ang buong epidermis ay hindi nakikita. Ang intensity ng Haematoxylin ay masyadong mahina. Ang slide na ito ay nakakuha ng 4/10.
Pindutan
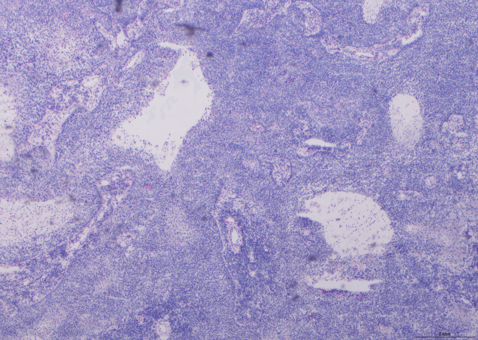
H E - BMT Scheme
Nakita sa x20. Sa pangkalahatan, napakahusay na paghahanda, ngunit ibinawas ang mga marka para sa mga fold at creases, pagkawala ng materyal, at paglamlam sa background ng haematoxylin. Ang slide na ito ay nakakuha ng 8/10.
Pindutan
Methenamine Silver - Renal Scheme
Nakikita sa 10x magnification. Walang glomeruli na naroroon, na ginagawang imposible ang pagtatasa ng glomerular basement membrane staining. Ang antas ng silver impregnation ay itinuturing din na masyadong malakas, tulad ng nakikita sa mga tubules dito. Ang mga marka ay ibinawas dahil ang seksyong ito ay itinuturing na 'hindi sapat para sa pagtatasa'. Ang slide na ito ay nakakuha ng 2/10.
Pindutan
Glial Fiber - Scheme ng Neuropathology
Nakita sa x4, ang slide na ito ay nagpapakita ng napakahinang demonstrasyon. Ang slide na ito ay nakakuha ng 4/10.
Pindutan
Glial Fiber - Scheme ng Neuropathology
Nakita sa x4, ang slide na ito ay nagpapakita ng mahusay na demonstrasyon. Ang slide na ito ay nakakuha ng 10/10.
Pindutan
Acid Phosphatase - Muscle Scheme
Nakikita sa x10, ang slide na ito ay isang halimbawa ng isang slide na hindi maganda ang kulay. Ang mga marka ay ibinawas para sa mga bula ng hangin, pagtaas at hindi pagpili ng paglamlam pati na rin ang pangunahing deposito ng mantsa. Ang slide na ito ay nakakuha ng 2/10.
Pindutan
Haematoxylin at Eosin - Renal Scheme
Makikita sa x4, ito ay isang halimbawa ng slide na may bahid ng Haematoxylin at Eosin. Bilang karagdagan sa mga fold, creases at lifting, ang mga marka ay ibinawas din para sa paglamlam ng background ng Haematoxylin at mahinang intensity ng eosin. Ang slide na ito ay nakakuha ng 7/10 .
Pindutan
Mohs Scheme
Nakikita sa x4 magnification, narito ang isang slide mula sa Mohs scheme. Ang mga marka ay ibinawas para sa: fold at creases, kutsilyo debris, butas, trimming artefact, squames at floaters, pantay na paglamlam at tubig na naroroon. Ang slide na ito ay nakakuha ng 5/10 sa pagtatasa.
Pindutan
Haematoxylin at Eosin - Frozen na Kasamang Scheme
Nakita sa x20, ito ay isang halimbawa ng isang H E. May napakakaunting paglamlam ng eosin na ginagawang mahirap ang pagtatasa ng arkitektura. Sa batayan na ito ang seksyong ito ay nakakuha ng 5/10.
Pindutan
Acid Phosphatase - Muscle Scheme
Ang Acid Phospahte ay maaaring ipakita sa pamamagitan ng hydrolysis. Ang mga kondisyon ng paglamlam ay dapat na maingat na kontrolin upang matiyak ang partikular na pagpapakita ng acid phosphate, na may acidic na pH na natagpuang pinakamainam. Ito ay isang mahusay na halimbawa kung saan ang paghahanda ay walang deposito, at mayroong tiyak na paglamlam ng aktibidad ng acid phosphare laban sa isang malinis na background. Ang slide na ito ay nakakuha ng 9/10.
Pindutan
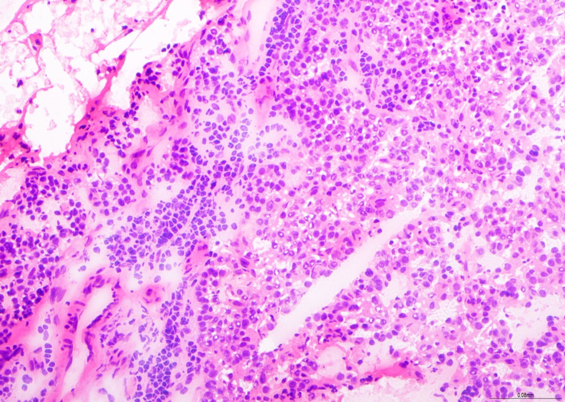
Ulo at Leeg sample na PAP - Non Gynae Scheme
Ang slide na ito ay nagpapakita ng isang mono layer ng mga cell, walang overlapping o clumping at mahusay na pagpapakita ng detalye ng chromatin. Ang slide na ito ay nakakuha ng 10/10 sa pagtatasa.
Pindutan
H E - Mohs Scheme
Narito ang isang H E slide na nagpapakita ng basal cell carcinmoa invasion sa cartilage mula sa tissue na kinuha mula sa nasal bridge ay. Ang mga marka ay ibinawas para sa: Eosin intensity masyadong string, mga marka ng kutsilyo, fold at creases. Ang slide na ito ay nakakuha ng 7/10 sa pagtatasa.
Pindutan



























