CPTCast Skyfie Beeld Indeks - Klik op die beelde hieronder om te vergroot
BMT-skema
Hier is 'n skyfie uit die BMT-skema. Punte is afgetrek vir agtergrondkleuring en nie-spesifieke silwerneerslag wat die demonstrasie van die vesels verbloem. Hierdie skyfie het 5/10 behaal.
Knoppie
NADH - Spierskema
Hier is 'n voorbeeld van 'n skyfie uit ons Spierskema wat die NADH-metode wys. Hierdie beeld toon 'n uitstekende veseltipe-demonstrasie en het 10/10 by die assessering behaal!
Knoppie
H&E - BMT-skema
Dit is 'n uitstekende voorbereiding vir 'n BMT-biopsie, met gebalanseerde H&E-kleuring, goeie chromatiendetail en selektiewe kleuring van seltipes binne die beenmurgweefsel. Hierdie skyfie is 9/10 tydens assessering behaal.
Knoppie
Martius Skarlakenblou
Hierdie is 'n voorbeeld van 'n voorwerpglas wat met Martius Scarlet Blue gekleur is om Fibrien te demonstreer. Al die fibrien moet helderkleurig wees en onderskeibaar van ander strukture. Daar moet goeie kleurskeiding wees tussen die kleurstowwe vir rooibloedselle (geel), spiere (rooi) en kollageen (blou). Die kernkleuring moet donkerblou of swart wees. Dit is 'n uitstekende voorbeeld wat 10/10 behaal het.
Knoppie
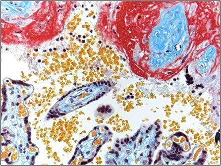
PAS - Nierskema
Gesien by x20, is dit 'n voorbeeld van 'n PAS-kleuring. Punte is afgetrek vir 'primêre agtergrondkleuring'. Alhoewel die glomerulêre basale membrane goed gekleur is, kan die kontras beter wees as daar minder agtergrond Schiff-kleuring was. Daarbenewens is waterdruppels onder die dekglas gesien. Die algehele telling vir hierdie afdeling het 7/10 behaal.
Knoppie
Gomori se Trichroom – Vars Spier
Dit is 'n voorbeeld van 'n swak uitgevoerde voorbereiding gevolg deur swak kleuring. Soos met alle vars spierkleuringsmetodes, is goeie voorbereiding die sleutel. As jou laboratorium probleme ondervind, kan jy toegang kry tot die Beste Metodes Protokolle en bykomende kwaliteitsbeheer-assesserings. Dit het 2/10 behaal.
Knoppie
Papanicolaou - Diagnostiese Sitologie Skema
Hierdie is 'n voorbeeld van 'n liggaamsholtevloeistof wat deur Papanicolaou gekleur is. Die dikte van die voorbereiding is oneweredig. Die kernkleuring is te intens, dit verberg die sitoplasmiese kleuring en daar is onduidelike chromatiendetail. Hierdie skyfie het 'n telling van 6/10 behaal.
Knoppie
Glail Vesels - Neuropatologie Skema
Gesien by x20, is dit 'n voorbeeld van 'n tegniek vir die demonstrasie van glailvesels. Die kleuring wat hier gesien word, is suboptimaal met swak vesels. Dit het 7/10 behaal.
Knoppie
H E - MOHS-skema
Hierdie beeld wys 'n H E-gekleurde Mohs-bevrore snit, gesien teen x4, wat 'n pragtige pannekoektegniek demonstreer. Hierdie skyfie het toppunte van 10/10 behaal.
Knoppie
Mega Block H E - Mega Block-metgeselskema
Hierdie skyfie toon beduidende kernborrels en kernsmelting. Hierdie artefakte dui op onvolledige fiksasie en onder- of verkeerde verwerking. Hierdie skyfie het 5/10 behaal.
Knoppie
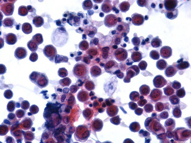
Vloeistof Romanowsky - Diagnostiese Sitologie Skema.
Hierdie skyfie toon uitstekende kleuring van beide die kern en sitoplasma. Dit het 'n telling van 9/10 tydens assessering behaal.
Knoppie
Retikulienkleuring - BMT-skema
Dit is 'n uitstekende voorbeeld van retukulienkleuring. Die silwer het geïmpregneerde growwe en fyn veselnetwerke met hoë spesifisiteit. Dit het 'n telling van 9/10 behaal.
Knoppie
Toludienblou - Mohs-skema
Hierdie gedeelte van haardraende vel toon voldoende kleuring, maar die teenwoordigheid van twee duidelike voue in die gedeelte is opgemerk. Hierdie skyfie het 7/10 behaal.
Knoppie
Masson Fontanta - Spesialis Tegnieke Skema
Alhoewel hierdie teenkleurmiddel dalk 'n bietjie swaar op hierdie fotomikrografiese beeld lyk, is daar gevoel dat 'n uitstekende telling geregverdig was toe hierdie gedeelte met ander in die reeks vergelyk is, aangesien dit aan al die assesseringskriteria in die Spesialistegnieke voldoen het. Hierdie skyfie het 10/10 behaal.
Knoppie
H E - Megablokskema
Daar is beduidende morfologiese skade met verlies aan klierargitektuur; veroorsaak deur swak fiksasie en verwerking. Megablokke vereis gewoonlik uitgebreide of verbeterde fiksasie- en verwerkingskedules. Hierdie skyfie behaal 'n lae telling van 2/10.
Knoppie
H E - Mohs-skema
Hierdie H E-gekleurde skyfie toon voue en kreukels, en 'n vriesende artefak. Daar is gate en 'n afsny-artefak en die volle epidermis is nie sigbaar nie. Die hematoksilien-intensiteit is te swak. Hierdie skyfie het 4/10 behaal.
Knoppie
H E - BMT-skema
Gesien by x20. Oor die algemeen 'n baie goeie voorbereiding, maar punte is afgetrek vir voue en kreukels, verlies van materiaal en hematoksilien agtergrondkleuring. Hierdie skyfie het 8/10 behaal.
Knoppie
Methenamien Silwer - Nierskema
Gesien met 10x vergroting. Daar was geen glomeruli teenwoordig nie, wat die assessering van glomerulêre basaalmembraankleuring onmoontlik maak. Die vlak van silwerimpregnasie is ook as te sterk beskou, soos hier in die tubuli gesien. Punte is afgetrek aangesien hierdie afdeling as 'onvoldoende vir assessering' beskou is. Hierdie skyfie het 2/10 behaal.
Knoppie
Gliale Vesel - Neuropatologie Skema
Gesien teen x4, toon hierdie skyfie 'n baie swak demonstrasie. Hierdie skyfie het 4/10 behaal.
Knoppie
Gliale Vesel - Neuropatologie Skema
Gesien teen x4, toon hierdie skyfie 'n uitstekende demonstrasie. Hierdie skyfie het 10/10 behaal.
Knoppie
Suurfosfatase - Spierskema
Gesien by x10, is hierdie plaatjie 'n voorbeeld van 'n swak gekleurde plaatjie. Punte is afgetrek vir lugborrels, oplig en nie-selektiwiteit van kleuring sowel as primêre kleurstofneerslag. Hierdie plaatjie het 2/10 behaal.
Knoppie
Hematoksilien en Eosine - Nierskema
Gesien by x4, is dit 'n voorbeeld van 'n Hematoksilien & Eosin gekleurde voorplaatjie. Benewens die voue, kreukels en oplig, is punte ook afgetrek vir Hematoksilien agtergrondkleuring en swak eosin intensiteit. Hierdie voorplaatjie is 7/10 behaal.
Knoppie
Mohs-skema
Gesien met x4 vergroting, hier is 'n skyfie volgens die Mohs-skema. Punte is afgetrek vir: voue en kreukels, mesreste, gate, sny-artefakte, skuim en drywende vlekke, egalige vlekke en water teenwoordig. Hierdie skyfie het 5/10 by die assessering behaal.
Knoppie
Hematoksilien en Eosine - Bevrore Metgeselskema
Gesien teen x20, is dit 'n voorbeeld van 'n H E. Daar is baie min eosine-kleuring wat argitektoniese assessering uitdagend maak. Op grond daarvan behaal hierdie afdeling 'n 5/10.
Knoppie
Suurfosfatase - Spierskema
Suurfosfaat kan deur hidrolise gedemonstreer word. Kleuringstoestande moet noukeurig beheer word om spesifieke suurfosfaatdemonstrasie te verseker, met 'n suur pH wat optimaal is. Dit is 'n uitstekende voorbeeld waar die preparaat vry van neerslae is, en daar spesifieke kleuring van suurfosfaataktiwiteit teen 'n skoon agtergrond is. Hierdie skyfie het 9/10 behaal.
Knoppie
Kop- en nekmonster PAP - Nie-ginekale skema
Hierdie skyfie toon 'n enkellaag selle, geen oorvleueling of klonting en uitstekende demonstrasie van chromatiendetail. Hierdie skyfie het 10/10 by assessering behaal.
Knoppie
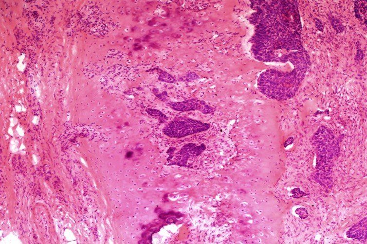
H E - Mohs-skema
Hier is 'n H E-skyfie wat die inval van basale selkarsinoom in kraakbeen wys vanaf weefsel wat van die neusbrug geneem is. Punte is afgetrek vir: Eosine-intensiteit te toutjies, mesmerke, voue en kreukels. Hierdie skyfie het 7/10 by die assessering behaal.
Knoppie



























